Больше про свиного цепня смотри Бычий цепень и свиной цепень вызывают тениидозы.
Пациентам со свиным цепнем советуем соблюдать величайшую опрятность. Заражение яйцами свиного цепня может привести к развитию финны (цистицерка). Заражение цистицеркозом влечет за собой более тяжелую болезнь, чем ленточная глиста.
После попадания онкосфер свиного цепня в кислую среду желудка, освободившиеся зародыши при помощи зародышевых крючочков проникают через стенку желудка в кровеносное русло. Током крови личинки заносит в различные органы и ткани, где они превращаются в цистицерков.
| Фото. Личинка свиного цепня (Cysticercus cellulosae): А Внутри финны находится сколекс паразита и опалесцирующая жидкость. Б Личинка свиного цепня с вывернутой головкой. В Сколекс личинки свиного цепня с присосками и хоботком с крючьями. | ||
| Фото. А Финны (цистицерки) свиного цепня это пузыри от 2,5 до 10 мм, иногда 20 мм в длину; Б Цистицерк отделили от ложа в мышце; В цистицерки в головном мозге. | ||
Онкосферы попадают в желудок человека при рвоте у больного свиным цепнем и из внешней среды через загрязненные руки и пищевые продукты. Больные свиным цепнем всегда находятся под угрозой заражения цистицеркозом.
Что такое цистицеркоз у человека
Это заболевание провоцируют финны или цистицерки личинки свиного цепня. Попадая в организм человека, паразиты начинают свое агрессивное действие. При начале заболевания:
- личинка (онкосфера) попадает в желудок;
- под действием желудочного сока ее оболочка растворяется;
- с помощью крючков и присосок головка финны закрепляется к поверхности;
- начинается разрушение личинками стенок желудка;
- паразиты проникают в кровоток и разносятся по всему телу;
- попадая в органы, они закрепляются, увеличиваются по размерам, вызывая опасные симптомы.
Цистицеркоз плохо поддается лечению. Даже при случае гибели паразита токсическое воздействие продуктов, образующихся как результат их распада, приводит к аллергическому шоку, летальному исходу. Червь после смерти может кальцинизироваться, оставлять рубец на органе, но при этом вредоносная деятельность не прекращается. Пагубному влиянию паразитов подвержены:
- костная, мышечная ткань;
- органы зрения;
- спинной мозг;
- подкожная клетчатка;
- центральная нервная систем (ЦНС);
- органы дыхания;
- печень;
- сердце.
Цистицеркоз является серьезным заболеванием, вызываемым личинками свиного цепня. Врачи отмечают, что наиболее опасными формами являются цистицеркоз головного мозга и глаз, так как они могут привести к тяжелым неврологическим и офтальмологическим осложнениям. Симптомы могут варьироваться от головных болей и судорог до потери зрения. Врачи подчеркивают важность ранней диагностики, так как лечение на начальных стадиях значительно повышает шансы на восстановление. Кроме того, цистицеркоз кожи и мышц также требует внимания, хотя и не столь критичен. Врачи рекомендуют соблюдать меры профилактики, такие как тщательная термическая обработка пищи и соблюдение гигиенических норм, чтобы избежать заражения.

Где чаще всего болеют цистицеркозом
Цистицеркоз чаще всего встречается в Африке, Азии и Южной Америке, то есть в странах, где больше всего предпочитают есть свинину. В Китае, Тайване и Южной Корее больше всего больных тениозом, но это заболевание может запросто превратиться в цистицеркоз, если яйца паразита выйдут за пределы кишечника в желудок, например при рвоте, или же занесутся больным в ротовую полость после посещения туалета, например, если не помыть руки.
Многое связано с тем, что люди не всегда соблюдают гигиену, могут не помыть руки после посещения общественного туалета или, например, съесть яблоко, просто протерев его об одежду. Ведь сегодня яйца глистов находятся повсюду, даже в пыли, не говоря уже о почве или каплях воды. В России цистицеркоз чаще всего встречается в Сибири.
Симптомы цистицеркоза головного мозга
- При небольшой плотности цистицерков и их малых размерах у больных отмечаются симптомы раздражения. Признаки выпадения функции нейронов выражены слабо или отсутствуют. У некоторых больных отмечаются неглубокие парезы, незначительные нарушения речи и расстройства чувствительности.
- Аномальная активность нейронов головного мозга приводит к появлению судорог и даже эпилепсии.
- Повышенная секреция спинномозговой жидкости и преграды ликворообращения приводят к повышению внутричерепного давления и отеку головного мозга. Развивается гидроцефалия и асептический реактивный лептоменингит. У больного появляются сильные головные боли, рвота, головокружение. При обследовании глазного дна определяются застойные диски зрительных нервов. Тяжело протекает синдром Брукса, который развивается при локализации личинок паразита в желудочках головного мозга. Цистицерки в данном случае раздражают дно IV желудочка и препятствуют оттоку ликвора из них.
- При цистицеркозе нередко регистрируются изменения психики больного от возбуждения и депрессии до галлюцинаций, бреда и деменции.
- Цистицерки, локализующиеся у основания мозга (чаще цистицеркус racemose), приводят к развитию базального менингита. Головная боль, рвота, брадикардия, поражение зрительных нервов и паралич VI и VII черепных нервов основные симптомы заболевания.
Цистицеркоз — это заболевание, вызванное инфекцией личинками свиного цепня, которое может поражать различные органы, включая головной мозг, глаза, кожу и мышцы. Люди, столкнувшиеся с этой проблемой, часто описывают свои ощущения как мучительные и тревожные. При поражении головного мозга симптомы могут включать головные боли, судороги и изменения в поведении. В случае глазного цистицеркоза пациенты жалуются на ухудшение зрения, боли и воспаление. На коже могут появляться высыпания, что также вызывает дискомфорт и стыд. В мышцах инфекция может проявляться болями и отеками. Многие пациенты отмечают, что диагностика и лечение требуют времени и терпения, а также осознания важности профилактики, чтобы избежать повторного заражения.

Течение цистицеркоза головного мозга
Цистицеркоз головного мозга протекает волнообразно. Периоды выраженного ухудшения сменяются светлыми промежутками. Заболевание протекает многие годы. Полного излечения не происходит.
Цистицерки свиного цепня — патологическое влияние на организм
Личинки, попадая в орган и закрепляясь там, начинают свое вредоносное воздействие. Цистицерки могут оставаться внутри тела больше 10 лет. Человек становится промежуточным хозяином паразита. Гельминты:
- оказывают механическое давление на ткани, чем нарушают функции органа;
- провоцируют воспаления, образования инфильтратов;
- вызывают развитие аллергических реакций, анафилактического шока, летального исхода.

Возбудитель и пути заражения
Источником появления цистицеркоза становится заболевший человек, фекалии которого содержат яйца свиного цепня. Попадая в окружающую среду, они являются причиной инвазии. Возбудитель заболевания цистицерк:
- овальный пузырек с прозрачной жидкостью;
- имеет головку с четырьмя присосками;
- оснащен двумя рядами крючьев, которыми цепляется к органам;
- внутри тела может иметь длину до 20 мм;
- меняет форму от круглой до веретенообразной;
- способен создавать гроздья с огромными пузырями;
- оболочка со временем уплотняется из-за отложения солей кальция.
Самые простые пути заражения контактно-бытовой и пищевой. Подхватить гельминтов можно, если:
- не соблюдать личную гигиену не мыть руки на природе, после посещения туалета;
- использовать воду из грязного водоема;
- есть плохо термически обработанное мясо дикого кабана, зайчатины, свинины;
- употреблять в пищу немытые фрукты, овощи, зелень;
- работать в сельском хозяйстве на зараженных землях;
- пользоваться фекальными удобрениями с личинками свиного цепня;
- собирать плоды, ягоды в зоне распространения паразитов.
Как можно заразиться цистицеркозом
Люди часто устраивают пикники на даче или, например, на берегу водоема, готовя для себя шашлыки или просто куски мяса с кровью. По утверждению некоторых, полусырое мясо отличается лучшим вкусом, но важно помнить, что самые частые случаи заражения паразитами всегда происходят именно на природе, когда людям не до постоянного мытья рук или же правильной термической обработки мяса.
Заразиться цистицеркозом можно двумя способами:
- Достаточно заболеть тениозом, то есть подхватить свиного цепня, который будет развиваться в кишечнике десятилетиями. А затем случайно заразить самого себя же. Очень часто, когда свиной цепень отбрасывает членики с яйцами, при рвоте или при большом количестве кала в кишечнике, яйца попадают в желудок. Здесь они освобождаются от защитной оболочки и вместе с кровотоком распространяются по всем внутренним органам. Это и есть начало цистицеркоза, когда финны образуются по всему телу, в мышцах, глазах, головном или спинном мозгу, печени.
- Яйца могут попасть и через ротовую полость здорового человека, например, если не помыть руки, повозившись в воде или почве, где присутствуют паразиты. Так как основной источник болезни человек, то высока вероятность, что его фекалии могут находиться где-то на природе, вместе с яйцами паразита и легко разносятся по воде. Личинки предполагают, что попали в организм животного и также быстро разносятся по всему организму, образуя финны.
Внимание. Можно сделать вывод, что основной проблемой, которая приводит к заражению цистицеркозом является несоблюдение личной гигиены, и неправильное приготовление пищи. Не забывайте, что многие фермеры используют для удобрения овощей и фруктов навоз, а это значит, что в почве, которая попадает на ваши столы вместе с продуктами из магазинов или рынков, также может содержать яйца различных паразитов.
Заразиться цистицеркозом может любой человек, независимо от его иммунитета или возраста. Заболевание может долгое время не проявляться, а человек не будет обращать внимания на некоторые симптомы, что крайне опасно для него и его окружающих.
Патогенное воздействие на организм человека
Так как личинка может находиться в организме около десяти лет, за это время у больного может возникать множество проблем в зависимости от пораженных органов:
- Механическое воздействие на ткани приводит к нарушению работы многих органов, особенно это опасно для головного мозга или глаз. Функции этих органов сильно нарушаются, обычно на этой стадии и выявляется болезнь.
- Раздражающее воздействие личинок также плохо влияет на окружающие ткани. Зачастую они вызывают раздражение нервной системы, как итог, цистицеркоз приводит к развитию менингита и различных воспалительных заболеваний.
- Токсико-аллергическое воздействие происходит постоянно, так как паразиты по мере роста выделяют в систему кровотока свои отходы. Более того, если у человека обширный цистицеркоз, то бывают случаи, когда возможна массовая гибель цистицерк, что приведет к сильной интоксикации и даже летальному исходу после развития анафилактического шока.
Цистицеркоз человека симптомы заболевания
В зависимости от степени поражения цистицеркозом, а также органов или целой системы, симптомы проявляются у каждого больного по-своему. Можно выделить три группы поражения.
- Цистицеркоз головного мозга, симптомы в данном случае могут быть ярко выраженными, так как паразиты воздействуют на один из самых главных органов человека, его мозг:
- поражение больших полушарий;
- поражение основания головного мозга;
- поражение желудочковой системы;
- смешанная форма поражения, когда возможно паразитирование цистицеркоза во всех частях головного мозга.
В любом случае, при поражении такого важного для человека органа, у больного отмечаются сильные головные боли. Часто возникают головокружения, возникает тошнота и рвота, но они не приносят никаких результатов, больному становится только хуже. Нередки случаи припадков, будто у больного есть эпилепсия, хотя в этом виноват цистицеркоз. Повышение давления и боли, которые возникают при смене положения головы говорят о том, что паразиты поразили желудочковую систему. Зачастую человеку приходится принимать ту или иную позу, чтобы избавиться от появившихся болей, в это же время начинается рвота.
Если при цистицеркозе поражается основание головного мозга, то симптомы немного иные. Возможно понижение слуха, боли в затылочной части, иногда у больного возникают проблемы со вкусом, головокружения могут возникать при быстрых поворотах головы. Это яркие симптомы, которые нельзя не заметить. Возможны галлюцинации, психические расстройства, различные припадки и боли на любой стадии заболевания.
- Если возникает цистицеркоз глаз, симптомы тут также ярко выражены. Возникают проблемы со зрением, после чего возможна временная слепота, если не обращать внимания на эти симптомы и не начать лечение, то в дальнейшем уже не поможет и медицина. Цистицеркоз может развиваться во всех частях органов зрения, сильно нарушая их работу.
- Цистицеркоз кожи практически не проявляет каких-либо симптомов, многие даже не замечают, что у них под кожей в мышечных тканях обитают цистицерки. Проблема лишь в том, что на некоторых участках тела могут возникнуть небольшие выпуклости, которые при надавливании не вызывают боли. Обычно цистицеркоз кожи проявляется на ладонях, плечах и грудной клетке.
Все это говорит о том что есть цистицеркоз, симптомы человека дают ясно понять, необходимо обратиться за помощью к врачу для полного обследования. Но бывают и другие варианты поражения организма цистицеркозом, например паразиты могут остаться в сердце или легких, естественно здесь уже свои симптомы, правда такие случаи поражений отмечаются крайне редко. Выявить паразитов можно только в клинических условиях под наблюдением опытного врача, который знает что такое цистицеркоз, симптомы этого заболевания сложно спутать с другими болезнями.
Разница между тениидозом и цистицеркозом
Тениидоз (лат. Taeniasis) это распространенное паразитическое заболевание, вызываемое ленточными червями рода Taenina: Т. Solium, в частности свиным, бычьим и азиатским цепнями. Тениидоз является результатом употребления в пищу плохо приготовленного мяса, заряженного яйцами солитера.
Цепень, который вызывает тениидоз, также может нести ответственность и за цистицеркоз. Тем не менее, цистицеркоз не вызывается при употреблении плохо термически обработанного мяса.
Он является следствием тениидоза, полученного в результате попадания яиц в организм человека, которые в последствии развиваются до стадии личинки и начинают перемещение в другие органы человека.
Этиология. Эпидемиология
Возбудитель личинки свиного цепня (Taenia solium).
Цистицеркоз развивается в результате попадания в желудок яиц свиного цепня с загрязненными продуктами, через грязные руки, при забрасывании зрелых члеников из кишечника в желудок при рвоте у лиц, зараженных половозрелой формой свиного цепня (то есть как осложнение тениоза).
Цистицерк представляет собой наполненный прозрачной жидкостью пузырь размером от горошины до грецкого ореха (от 3 до 15 мм в диаметре). На внутренней поверхности пузыря располагается головка финны сколекс с крючьями и присосками.
Для развития цистицеркоза необходимо попадание яиц гельминта в желудок и кишечник, где под влиянием желудочного сока плотная оболочка яиц растворяется и освободившиеся зародыши по кровеносным сосудам разносятся по тканям и органам человека.
Источником возбудителя инвазии является больной человек, выделяющий с фекалиями зрелые яйца и членики цепня. Заражение происходит через загрязненные руки, пищу, воду; помимо заражения яйцами цепня из окружающей среды больной тениозом человек может заразиться цистицеркозом при антиперистальтике, рвоте с последующим заглатыванием онкосфер (аутоинвазия).
Патогенез
При проглатывании онкосферы в тонкой кишке личинка освобождается от оболочки, головка личинки выворачивается наружу, и личинка активно внедряется в стенку кишки, попадает в кровеносные сосуды и током крови разносится по организму. Помимо токсического и сенсибилизирующего действия ферментов и метаболитов личинок при миграции в дальнейшем важным фактором патогенеза является механическое давление растущего паразита. Токсико-аллергическое воздействие паразита, например при гибели и лизисе паразита, может вызвать анафилактический шок.
Цистицеркоз головного мозга
Чаще всего (более 60 %) цистицерк попадает в головной мозг, реже в скелетные мышцы и глаза. Продолжительность жизни паразита в мозге от 5 до 30 лет. В большинстве случаев в головном мозге имеются сотни и тысячи паразитов, однако встречаются и единичные цистицерки. Они локализуются в мягких мозговых оболочках на основании мозга, в поверхностных отделах коры, в полости желудочков, где они могут свободно плавать. Погибая, паразит обызвествляется, однако, оставаясь в мозге, поддерживает хронический воспалительный процесс.
На нервную систему цистицеркоз оказывает токсическое влияние и вызывает реактивное воспаление окружающей мозговой ткани и оболочек. Цистицеркоз сопровождается отеком мозга, гидроцефалией вследствие повышенной секреции цереброспинальной жидкости хориоидальными сплетениями, механической преграды ликворообращению, реактивного лептоменингита.
В связи с небольшим размером пузырей и малой их плотностью в клинической картине цистицеркоза наблюдаются в основном симптомы раздражения. Признаки выпадения функции нейронов долго отсутствуют или выражены очень слабо. У больных могут быть неглубокие парезы, незначительные расстройства чувствительности, лёгкие нарушения речи. Симптомы раздражения проявляются приступами локальных джексоновских и общих судорожных эпилептических припадков. Часты длительные светлые промежутки между припадками, а также эпилептический статус. Характерен полиморфизм джексоновских припадков, что свидетельствует о множественности очагов в коре головного мозга.
Для цистицеркоза типичны разнообразные изменения психики, выраженные невротическими проявлениями, иногда в возбуждении, депрессии, галлюцинаторно-бредовых явлениях, корсаковском синдроме. Ликворная гипертензия и отёк мозга проявляются приступообразной интенсивной головной болью, рвотой, головокружением, застойными дисками зрительных нервов.
При локализации цистицерка в желудочке возникает синдром Брунса, заключающийся в приступообразной резчайшей головной боли, рвоте, вынужденном положении головы, расстройстве дыхания и сердечной деятельности, иногда нарушении сознания. В основе синдрома лежит раздражение цистицерком дна IV желудочка. В других случаях синдром Брунса развивается вследствие острой ликворной гипертензии при окклюзии цистицерком отверстий IV желудочка.
Цистицеркоз боковых желудочков протекает по типу опухоли лобной или каллезной локализации с периодическим нарушением сознания при закупорке отверстия Монро.
Цистицеркоз основания мозга (обычно рацемозный в виде грозди винограда) даёт картину базального менингита, протекающего с головной болью, рвотой, брадикардией, поражением зрительных нервов и параличом VI и VII черепных нервов.
Течение. Длительное, ремиттирующее, резко выраженными периодами ухудшения и светлыми промежутками в течение нескольких месяцев и даже лет. Спонтанного излечения не наблюдается.
При исследовании цереброспинальной жидкости выявляют лимфоцитарный и эозинофильный цитоз, иногда повышение уровня белка (от 0,5 до 2 г/л), в некоторых случаях сколекс и обрывки капсулы цистицерка. Люмбальную пункцию следует производить осторожно, так как при цистицеркозе IV желудочка взятие цереброспинальной жидкости может вызвать внезапную смерть больного.
В крови часто отмечается эозинофилия. Диагностическую ценность имеет РСК крови и особенно цереброспинальной жидкости с использованием цистицеркозного антигена. Реакция Ланге имеет паралитический характер.
На краниограмме иногда обнаруживаются рассеянные мелкие образования с плотными контурами обызвествленные цистицерки, которые могут находиться также в мышцах конечностей, шеи, груди. Иногда цистицерк обнаруживается на глазном дне. Как проявление ликворной гипертензии на глазном дне отмечаются застойные диски зрительных нервов.
Диагностировать цистицеркоз головного мозга исключительно трудно из-за отсутствия патогномоничных симптомов. В постановке диагноза опираются на следующие особенности заболевания: множественность симптомов, указывающая на многоочаговое поражение мозга, преобладание явлений раздражения, наличие признаков повышения внутричерепного давления, смена тяжелого состояния больного периодами благополучия. Диагностике помогают рентгенографические данные, КТ, МРТ, а также эозинофилия крови и цереброспинальной жидкости, положительная РСК с цистицеркозным антигеном.
Дифференцировать цистицеркоз следует от опухоли мозга, нейросифилиса, менингоэнцефалита, эпилепсии и др.
Лечение проводят празиквантелом и хирургическим удалением паразитов.
Прогноз при множественном цистицеркозе и цистицеркозе IV желудочка неблагоприятный. Смерть может наступить во время эпилептического статуса или при развитии острой окклюзионной гидроцефалии. В отношении трудоспособности прогноз также неблагоприятный вследствие повышения внутричерепного давления, что сопровождается упорными головными болями, частыми эпилептическими припадками, изменениями психики[3].
Цистицеркоз кожи
При расположении личинок в подкожном жировом слое возникают опухолевидные образования, возвышающиеся над поверхностью кожи, при их пальпации можно определить полостный характер опухолей. Наиболее частая локализация: внутренние поверхности плеч, верхняя половина грудной клетки, ладони.
Болезнь сопровождается выраженной эозинофилией в крови (до 40 %), крапивницей.
Гистология: обнаруживаются полостные образования с толстой фиброзной стенкой, наполненные прозрачной белесоватой жидкостью, внутри которых обнаруживается личинка.
Цистицеркоз кожи, мышц протекает бессимптомно.
Лечение хирургическое.
Цистицеркоз спинного мозга
Цистицеркоз спинного мозга чаще развивается вторично в результате заноса паразитов по ликворным пространствам из полости черепа в субарахноидальные пространства спинного мозга. Цистицерки обнаруживаются в веществе спинного мозга, на его корешках или оболочках. Воспалительный процесс вызывает развитие спаек в оболочках и корешках спинного мозга или распространенный продуктивный рубцовый процесс с образованием в спайках кистозных полостей. В зоне паразитирования цистицерков в веществе спинного мозга возможны микроабсцессы, эндоваскулиты с облитерацией крупных сосудов, очаги ишемического размягчения. Начальными проявлениями заболевания являются симптомы оболочечно-корешкового раздражения боли в конечностях, спине, опоясывающие боли в животе, на уровне груди. Нарастание сопутствующего спаечного процесса в оболочках и корешках спинного мозга приводит к блоку субарахноидальных ликворных пространств и локальному сдавлению спинного мозга. Развиваются спастические парапарезы, параличи, проводниковые нарушения чувствительности, расстройство функции тазовых органов. При интрамедуллярной локализации процесса нарушения носят сегментарный характер. Увеличение размеров паразитарных кист может привести к поперечному поражению спинного мозга: нарушению функции тазовых органов, расстройству чувствительности и движений соответственно локализации паразита. Раздражением клеток передних рогов объясняются фибрилляции отдельных мышечных групп.
Диагностика: применение серологической реакции реакции связывания комплемента в ликворе и сыворотке крови. Проводят гельминтологическое исследование, миелографию, информативной является магнитно-резонансная томография.
Специфическое лечение не разработано. В послеоперационном периоде проводится рассасывающая десенсибилизирующая терапия при регулярном наблюдении за динамикой неврологического процесса.
Цистицеркоз глаза
При цистицеркозе глаз, паразиты локализуются в стекловидном теле (в который он попадает из собственно сосудистой оболочки), передней камере глазного яблока, сетчаткой, конъюнктивой, и вызывают преходящие расстройства зрения. Паразит оказывает токсическое влияние на ткани глаз, что сопровождается их воспалительными и дистрофическими изменениями. Развиваются реактивные увеиты, ретиниты, конъюнктивиты, нередко приводящие к слепоте. Цистицеркоз приводит к атрофии глазного яблока. При цистицеркозе глаз отслойка сетчатки и поражение хрусталика ведут к постепенному снижению остроты зрения и слепоте.
Цистицеркоз сердца
При локализации паразитов в сердце, в области предсердно-желудочного пучка, нарушается сердечный ритм.
Цистицеркоз лёгких
Цистицеркоз легких в большинстве случаев протекает без выраженных клинических симптомов и обнаруживается случайно при рентгенологическом исследовании. На рентгенограмме видны круглые тени, в основном интенсивные с четкими границами величиной от зерна перца до маленькой вишни. Эти тени, как правило, разбросаны в обоих легочных полях, число их может быть различным от нескольких единиц до нескольких десятков. Очаги паразитов могут быть частично или полностью обызвествлены.
Цистицеркоз крупного рогатого скота
Возбудителем является Cysticercus bovis. У животных при цистицеркозе поражаются главным образом мышечные ткани, чаще всего язык, жевательные, шейные и межрёберные мышцы, сердце, а при интенсивном поражении-вся мускулатура[4].
Цистицеркоз свиней
Возбудителем является Cysticercus cellulosae. При данном заболевании поражаются преимущественно мышцы, реже паренхиматозные органы и головной мозг. Для данного возбудителя человек является дефинитивным и промежуточным хозяином. Заражение свиней имеет место при поедании ими фекалий людей, содержащих членики и яйца вооруженного цепня[4].
Признаки цистицеркоза
Количество цистицерков у одного больного может доходить до нескольких тысяч. Чаще всего цистицерками поражаются глаза (46%), затем мозг (41%), значительно реже кожа, мышцы и другие органы. В соединительной ткани цистицерки обычно круглые, в мышцах слегка вытянутые, у основания мозга ветвистые.
При подкожных и внутримышечных припухлых образованиях необходимо исключить цистицеркоз. Цистицеркоз подкожной клетчатки часто протекает без симптомов. Кисты в мышцах могут вызывать боли и мышечную слабость. При множественном поражении скелетных мышц возникает мышечная псевдогипертрофия.
| Фото. Кожно-мышечный цистицеркоз подкожные шишки, мышечная псевдогипертрофия икр и цистицерк в языке. | ||
При цистицеркозе глаз сначала появляются искры, сетки перед глазами, искажение предметов, а затем быстро и резко падает зрение. Для цистицеркоза мозга характерны сильные приступообразные головные боли со рвотой и головокружением. Бывает цистицеркоз с эпилептическими припадками или психозами с галлюцинациями и бредом. Иногда заболевание наступает и развивается бурно, а иногда протекает медленно. При множественном цистицеркозе головного мозга из-за гидроцефалии или набухания мозга резко повышается внутричерепное давление, иногда приводящие больного к смерти. Паразиты в полости IV желудочка могут приводить к внезапной смерти.
Диагностика цистицеркоза
Диагноз цистицеркоза глаза ставится при офтальмоскопии сравнительно легко при нахождении цистицерка в передней камере глаза и под конъюнктивой. В стекловидном теле цистицерк свободно плавает, попеременно выбрасывая и пряча шейку и головку. При больших отслойках и помутнениях стекловидного тела, а также при развитии вокруг паразита обильной соединительной ткани диагноз затруднителен.
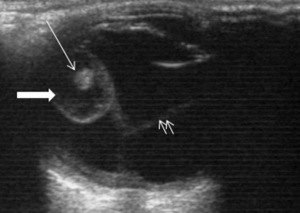
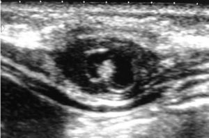
| Фото. Цистицеркоз глаз: А Киста цистицерка под конъюнктивой в наружном углу глаза; Б цистицерк на глазном дне, вертикальная стрелка указывает место выхода паразита через сосуды сетчатки поврежден пигментный эпителий сетчатки, горизонтальная стрелка указывает на отслойку сетчатки вокруг цистицерка, белое пятно в центре кисты это сколекс паразита; В На УЗИ цистицерк на глазном дне киста (толстая стрелка) и сколекс (тонкая стрелка) паразита. | ||
IgG-антитела к Taenia solium (cвиной цепень/цистицеркоз) часто бывают высокими у пациентов с множественными кистами, но редко повышаются у пациентов с одиночной кистой или при кальцифицированных кистах.
Цистицеркоз диагностируют при помощи УЗИ, рентгена, КТ, МРТ и биопсии. На УЗИ хорошо видно кисту и сколекс цистицерка в мышцах и подкожной клетчатке. На рентгене видно кальцификаты. КТ и МРТ полезны для определения точного расположения цистицерка. На КТ лучше видны мелкие кальцинаты. На МРТ лучше видно сколекс и кисту.
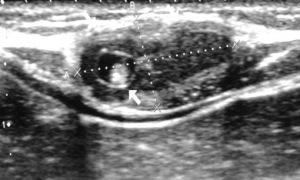
| Фото. Цистицерки в мышцах на УЗИ. А, Б У ребенка безболезненная припухлость в правом подреберье. На УЗИ очаг (16,5х7,5 мм) с кистозным компонентом (6,3х4 мм) и гиперэхогенным (белым) включением внутри (стрелка). Диагноз цистицеркоз передней брюшной стенки. В цистицерк в икроножной мышце. | ||
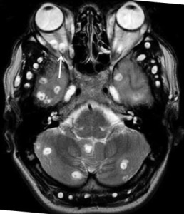
| Фото. А, Б На рентгене и КТ хорошо видно кальцификаты в мышцах и подкожной клетчатке очаги по типу зерен риса по ходу мышечных волокон это цистецерки в мышцах и коже; В На МРТ хорошо видны цистицерки в головном мозге, зрительном нерве (стрелка), в глазных мышцах белые округлые кисты с черным сколексом внутри. | ||||||||||||||||||||||||||||||||||||||||||
Лечение или как избавиться от цистицеркоза при обнаружении симптомов
Лечение должно проходить под строгим контролем врача, ни в коем случае нельзя проводить лечение дома. При уничтожении цистицерк у человека может возникнуть шоковое состояние, а это приведет к летальному исходу. Для начала назначается прием празиквантела, албендазола и мебендазола. Лечение цистицеркоза проводится на протяжении нескольких месяцев по три курса с трехнедельными перерывами.
Важно. Зачастую использовать одни препараты бесполезно и необходимо проводить хирургическое вмешательство, обычно это необходимо, если обнаружен цистицеркоз в сложных случаях. Важно заметить, если после диагностирования у человека цистицерки находятся только под кожей, и его не мучают какие-то болевые симптомы, то возможно, что никаких операций или приема лекарств не назначают. Цистицерки со временем погибают самостоятельно.
Помимо операции и антигельминтных препаратов, врачи назначают массу других лекарственных средств, направленных на уменьшение боли, для вывода токсинов из организма и для повышения иммунитета. К сожалению, люди часто не обращают, что у них серьезные проблемы и развивается цистицеркоз, симптомы лишь увеличиваются, и только затем больные обращаются за помощью это сильно затрудняет лечение.
Как лечить цистицеркоз у человека
Чтобы справиться с заболеванием, важна ранняя диагностика. При появлении первых симптомов пациент должен обратиться к специалистам. Лечение проводится под контролем врача и включает:
- противопаразитарную терапию в стационаре для исключения отравления пациента продуктами распада паразитов;
- хирургические методы при единичных цистицерках, обнаруженных в мозге и глазах;
- симптоматические способы, устраняющие неприятные, тяжелые признаки заболевания.
Противопаразитарная терапия
Противопаразитное лечение при цистицеркозе необходимо проводить в стационарных условиях. Это связано с развитием сильных аллергических реакций, возникающих от действия токсинов, вырабатывающихся при гибели паразитов.
Противопаразитарная терапия не назначается при заболеваниях скелетной мускулатуры, подкожной клетчатки, мышечных тканей пациенты находятся под наблюдением врачей, если нет жалоб. Основа лечения от паразитов:
- 3 курса с интервалом три недели;
- лекарственные препараты Албендазол, Мебендазол, Празиквантел;
- дозировка 50 мг на килограмм массы пациента.
Хирургическое вмешательство
Цистицеркоз головного мозга лечится при помощи оперативного вмешательства. Это необходимо, когда цистицерки располагаются в желудочках, становятся причиной возникновения серьезных проблем. Показаниями для хирургической операции являются:
- единичные мозговые паразиты;
- острая окклюзия ликворных путей;
- спинальная локализация кисты;
- отсутствие реакции на противопаразитарное лечение;
- точное установление места поражения;
- гарантия сохранения жизненно важных центров;
- локализация паразитов в основании мозга.
При поражении гельминтами глазного яблока лекарственная терапия может вызвать серьезные осложнения из-за распада цистицерков. В этом случае цистицеркоз рекомендуют лечить хирургическим способом. Врачи в зависимости от ситуации выполняют:
- иссечение измененного участка;
- энуклеацию полное удаление глазного яблока в случае тяжелого поражения гельминтами.
Симптоматическое лечение
В комплексной терапии цистицеркоза внимание уделяется устранению симптомов заболевания. Лечение помогает купировать интоксикацию организма, остановить развитие аллергических реакций. С этой целью назначают препараты:
- антигистаминные Супрастин, Зиртек, Зодак;
- противосудорожные Фенитоин, Карбамазепин;
- седативные Персен, Ново-пассит;
- снижающие внутричерепное давление Глицерин.
Когда заболевание сопровождается сильными воспалениями, отеками, клеточными инфильтратами, врачи сочетают противопаразитарную терапию с применением:
- глюкокортикостероидов Дексаметазон, Преднизолон;
- десинбилизирующих средств, снимающих аллергические проявления, Цетрин;
- дегидратационных препаратов для устранения лишней жидкости при отеке мозга Фуросемид, Эуфиллин.
Прогноз излечения
Насколько пациент справится с заболеванием, зависит от того, как протекает цистицеркоз. Не менее важна зона поражения. Самая благоприятная форма недуга заболевание мышечной ткани, кожи. В некоторых случаях это не требует лечения, гельминты со временем погибают, не причиняя беспокойства пациенту. Даже после полного выздоровления с применением длительных курсов могут присутствать такие расстройства: сохраняется внутричерепное давление, наблюдаются расстройства психики, встречается фокальная эпилепсия.
Прогноз цистицеркоза может быть неблагоприятным, грозящим летальным исходом, когда:
- заболевание запущено;
- процесс распространился глубоко внутрь тканей;
- наблюдается значительное поражение внутренних органов;
- хирургическое вмешательство невозможно;
- инвазия охватила органы зрения;
- препараты не оказывают лечебного действия или имеют противопоказания.
Профилактика цистицеркоза
Чтобы исключить заражением гельминтами, необходимо соблюдать несложные правила. Это поможет избежать тяжелых последствий. Для профилактики цистицеркоза требуется:
- соблюдать личную гигиену;
- мыть руки до еды, после посещения туалета;
- обрабатывать перед употреблением овощи, фрукты, зелень;
- уничтожать в доме вредных насекомых;
- научить детей правилам гигиены;
- обратиться к врачу при появлении симптомов тениоза для лечения и наблюдения.
Можно избежать заболевания финнозом свиней, если:
- проводить периодический осмотр людей, находящихся в группе риска по тениозу, работающих на мясокомбинате, в свиноводческом хозяйстве;
- при покупке свинины выполнять визуальный осмотр на выявление финн цепня;
- не употреблять в пищу мясо дикого кабана, свиньи без термической обработки;
- обращаться к врачу при появлении первых симптомов болезни;
- выполнять санитарный контроль мяса, чтобы исключить попадание на прилавок продуктов с паразитами.
Вопрос-ответ
Что такое цистицеркоз глаз?
Цистицеркоз (лат. Cysticercosis) — гельминтоз из группы цестодозов, характеризующийся в зависимости от локализации паразита поражением кожи, подкожной клетчатки, мышц, головного и спинного мозга, глаз, внутренних органов, костей. По данным ВОЗ патология относится к забытым болезням.
Каковы симптомы цистицеркоза головного мозга?
Клиника цистицеркоза головного мозга еще не достаточно изучена. Наиболее постоянными признаками считаются мучительные головные боли, головокружение, рвота и судороги.
Чем опасен цистицеркоз?
Цистицеркоз может вызывать крайне тяжелые последствия для здоровья. Личинки плоского червя (цистицерки) способны развиваться в мышцах, коже, глазах и центральной нервной системе. В случае развития личинок в головном мозге развивается нейроцистицеркоз (НЦЦ).
Какой паразит вызывает цистицеркоз?
Цистицеркоз – болезнь, вызванная личинками (цистицерками) ленточного червя свиного цепня.
Советы
СОВЕТ №1
Регулярно проходите медицинские обследования, особенно если вы находитесь в зонах с высоким риском заражения. Это поможет выявить цистицеркоз на ранних стадиях и начать лечение как можно скорее.
СОВЕТ №2
Соблюдайте правила личной гигиены, особенно после контакта с животными и перед едой. Тщательное мытье рук и овощей может значительно снизить риск заражения.
СОВЕТ №3
Избегайте употребления сырого или недостаточно термически обработанного мяса, особенно свинины, так как оно может содержать яйца свиного цепня, вызывающего цистицеркоз.
СОВЕТ №4
Обратитесь к врачу при появлении любых необычных симптомов, таких как головные боли, проблемы со зрением или кожные высыпания. Раннее обращение за медицинской помощью может предотвратить серьезные осложнения.




















