Туберкулезом называется заболевание инфекционного характера, вызванное микобактериями (палочкой Коха) с наиболее частой локализацией проявлений в легких. Лечение патологии должно быть комплексным, непрерывным, включать несколько противотуберкулезных средств, учитывая чувствительность возбудителя.
Группы препаратов
Каждое лекарство от туберкулеза входит в состав определенной группы средств. Подобное распределение основано на химическом составе, клинической активности и переносимости пациентами:
- первый ряд (“Изониазид”, “Рифампицин”) — наиболее эффективны;
- второй ряд (“Стрептомицин”, “Канамицин”) — средняя эффективность;
- третий ряд (“Тиоацетазон”, “ПАСК”) — менее эффективны.
Высокоэффективные препараты используют чаще всего, комбинируя каждый из них со средствами из других групп. Остальные таблетки от туберкулеза называются резервными. Их применяют в случаях, если возбудитель устойчив к активным веществам первого ряда.
“Изониазид”
Препарат “Изониазид” используется в терапии взрослых и детей. Его действие направлено на активные формы возбудителя. По отношению к микобактериям в состоянии покоя он малоэффективен. В состав оболочки палочки Коха входит миколиевая кислота, синтез которой подавляется препаратом.
“Изониазид” — лекарство от туберкулеза всех локализаций и форм. Дозировка подбирается индивидуально, в зависимости от того, с каким средством специалист рекомендует комбинировать препарат.
- “Изониазид” + “Рифампицин” — курс лечения проходит на протяжении 6 или 8 недель. Препараты принимаются раз в сутки утром натощак.
- “Изониазид” + “Тиоацетазон”.
- “Изониазид” + “Рифампицин” +”Пиразинамид” — в подобной комбинации средство имеет название “Рифатер”. Применяют на протяжении 2 месяцев ежедневно, усиливая эффективность лечения “Стрептомицином” или “Этамбутолом”.
- “Изониазид”+ “Этамбутол” — лекарство от туберкулеза в качестве поддерживающей терапии.
“Рифампицин”
Особенности препарата “Рифампицин”: инструкция по применению (цена средства — около 200 рублей) говорит о том, что вещество эффективно борется с микобактериями в зоне поражения, достигая там максимальной концентрации. Возбудители туберкулеза имеют свойство быстро к нему привыкать, из-за чего прием препарата ограничивается. Не используется при кормлении грудью, поскольку имеет свойство в большом количестве проникать в грудное молоко.
“Рифампицин”, инструкция по применению, цена которого указаны на специализированных фармацевтических сайтах, имеет побочные действия, проявляемые следующими состояниями:
- цефалгия (головная боль);
- почечная недостаточность обратимого характера (работа почек восстанавливается после завершения приема препарата);
- аллергические реакции;
- диспепсические проявления — рвота, понос, вздутие живота;
- нарушение зрения;
- изменения лабораторных показателей периферической крови.
Парааминосалициловая кислота
“ПАСК” — лекарство от туберкулеза на основе аминосалициловой кислоты. Выпускается в форме таблеток, раствора, гранул. Суточная доза разбивается на 3 приема, принимается, запивая молоком, минеральной водой, слабым содовым раствором. В некоторых случаях врач назначает суточную дозу в один прием.
Препарат в самостоятельном виде не назначается, только в комбинации с другими противотуберкулезными средствами. Действует только на возбудителей, которые находятся в активном состоянии. Устойчивость микобактерий к активному веществу практически не развивается.
“Пиразинамид”
Таблетки от туберкулеза, относящиеся к синтетическим препаратам второго ряда. Используется в комбинированном лечении туберкулеза любой локализации. Использование “Пиразинамида” в период беременности и лактации возможно при условии, что микобактерии устойчивы к другим более эффективным препаратам.
Раз в месяц следует контролировать уровень трансамиаз и наличие мочевой кислоты в крови при продолжительном лечении средством. Противопоказаниями к применению являются:
- индивидуальная гиперчувствительность к активному веществу;
- тяжелые нарушения системы почек;
- органические патологии печени.
Фторхинолоны
Группа препаратов используется в качестве этиотропной терапии. Средства обладают бактерицидным действием, влияя на микобактерию как в состоянии покоя, так и в период активности.
“Ципрофлоксацин” рекомендован в комбинации с другими противотуберкулезными препаратами. Максимальная концентрация в организме достигается уже через несколько часов с момента приема. Может вызывать диспепсические нарушения, цефалгию, беспокойство, аллергические проявления, снижение остроты зрения.
“Офлоксацин” — лекарство от туберкулеза, влияющее на расположение ДНК в клетке возбудителя. Выпускается в таблетках и растворе для инфузий. Суточная доза принимается в два приема с 12-часовыми интервалами. Это позволяет постоянно поддерживать необходимую концентрацию “Офлоксацина” в организме.
“Ломефлоксацин” — эффективный препарат, обладающий практически 100% биодоступностью. Средство “вмешивается” в цепь ДНК возбудителя, меня ее расположение в клетке. Противопоказан в период беременности, лактации, детям до 18 лет.
Новые препараты
Инновации в сфере фтизиатрии связаны с разработкой высокоэффективных противотуберкулезных средств, чувствительность возбудителей к которым не уменьшалась бы на протяжении длительного периода времени.
Новые лекарства от туберкулеза:
- “Перхлозон” — вещество обладает низкой токсичностью по отношению к организму человека, однако, высокой активностью против микобактерий. К противопоказаниям относят беременность, период лактации, детский возраст, индивидуальную гиперчувствительность, патологию почек и печени.
- “Микобутин” — производное антибактериального средства рифабутина, используемое для лечения хронических форм заболевания у больных, резистентных к “Рифампицину”. Применяется не только в качестве терапии, но и для профилактики болезни.
- “Бедаквилин” (“Сиртуро”) является инновационным средством, подавляющим выработку жизненно необходимых ферментов микобактериями туберкулеза. Эффективен уже через 3 месяца лечения (для сравнения: другие препараты показывают результат через 1,5-2 года), выдавая отрицательные результаты анализов.
Побочные действия терапии
Возникновение побочных эффектов связано с тем, что используемые препараты значительно влияют на обменные процессы, которые происходят в организме больного, а также вызывают развитие гипо- или авитаминозов, нарушения окислительно-восстановительных процессов.
Наиболее распространенные побочные эффекты:
- снижение остроты слуха;
- периферические полиневриты;
- нарушение функций основных органов и систем;
- аллергические реакции;
- дисбактериоз;
- кандидамикоз;
- диспепсические явления.
Специфическим проявлением является реакция Яриша-Герксгеймера — ответ организма пациента на массивное уничтожение микобактерий в первые несколько дней с момента начала терапии.
Народные средства от туберкулеза
При длительном лечении пациенты готовы испробовать любые средства, лишь бы они ускоряли процесс выздоровления. Известен ряд рецептов, усиливающих эффективность лекарственной терапии.
Столовую ложку почек березы залить 2 стаканами разведенного спирта или водки. Настаивать до тех пор, пока раствор приобретет коньячный цвет. Принимать по столовой ложке 3 раза в сутки на протяжении всего курса лечения.
Листья камыша промыть, осушить и измельчить, чтоб вышло 3 столовые ложки. Залить 2 стаканами воды, прокипятить на протяжении 5-7 минут. Настоять и процедить. Пить по 1/2 стакана жидкости перед каждым приемом еды.
Барсучий жир, мед и грецкий орех — народные средства от туберкулеза, эффективность которых зависит от правильного комбинирования. Орехи измельчаются, а жир перетапливается. Все ингредиенты смешиваются в одинаковых пропорциях. Смесь кладут в рот и держат до тех пор, пока она сама не растает.
Живицу сосны или ели заливают спиртом на 2-2,5 см выше и закрывают крышкой. Через несколько дней раствор станет однородный. К нему добавляют растопленный свиной жир и липовый мед в таком же количестве. Принимают по чайной ложке трижды в сутки на протяжении полугода.
Необходимо помнить о том, что применение любых средств и препаратов должно происходить под контролем квалифицированного специалиста.
Туберкулез – опасное и заразное заболевание, которое крайне тяжело поддается лечению в запущенных формах. Чем раньше выявлен недуг – тем благоприятнее прогноз. При правильном выборе противотуберкулезного препарата, активном взаимодействии пациента и врача можно добиться полного выздоровления за несколько месяцев. В обратном случае процесс может затянуться на годы, так и не дав положительного результата.
Виды препаратов 1 ряда
Подбор медикаментозной схемы для лечения туберкулеза начинается после постановки точного диагноза и основывается на многих факторах.
Читайте также: Можно ли забеременеть сразу после удаления полипа
Здоровым людям, контактировавшим с больным открытой формой, будет предложена профилактическая терапия, от которой можно отказаться.
Если заболевание было диагностировано впервые, его начинают лечить веществами 1 ряда, включающими синтетические антибактериальные препараты и средства природного происхождения. Они:
- обладают наибольшей активностью против палочки Коха;
- оказывают на организм минимальное токсическое действие;
- рассчитаны на длительное применение.
По утверждению врачей и пациентов наиболее действенными в лечении считаются:
Их принято назначать в качестве основных медикаментов, причем для повышения эффективности применяют 2-3 одновременно. Это позволяет уменьшить вероятность привыкания.
Появление различных побочных эффектов от противотуберкулезных препаратов встречается довольно часто.
Средства второго ряда
Если прием лекарства из первой группы невозможен, прибегают к дополнительным. Их относят ко второму ряду. Вещества отличаются более высокой токсичностью и меньшим воздействием на возбудителя. Длительное применение, которое просто необходимо при лечении туберкулеза (в среднем от 10 месяцев), может крайне негативно сказываться на здоровье печени и всего организма в целом. Такие лекарства назначают,в случаях, когда это действительно необходимо.
При длительном использовании противотуберкулезного препарата 1 ряда микобактерии приобретают устойчивость к веществам, они больше не работают в полную силу, поэтому упомянутые средства заменяют другими.
К лекарствам второго ряда относятся:
Иногда к противотуберкулезным препаратам второго ряда приходится прибегать, если больной был заражен микобактериями, которые уже устойчивы к основному лечению, или наблюдались аллергические реакции на него.
В зависимости от показаний эти медикаменты могут применяться в совокупности с основными средствами или отдельно от них.
Резервные
Когда применение обеих групп невозможно по показаниям, больным назначают вещества, которые обладают выраженной токсичностью и оказывают на микобактерию меньшее воздействие, чем популярные изониазид и рифампицин.
Эта группа включает:
Новые лекарства
Прогресс не стоит на месте. Ученые регулярно проводят исследования, создавая новые противотуберкулезные препараты.
В список последних достижений включены:
- “Перхлозон”. Появился в тубдиспансерах с начала 2013 года. По сравнению с другими средствами, подавляющими активность микобактерий, имеет минимальную токсичность и высокий уровень эффективности. Точный механизм воздействия пока неизвестен. Применение в детском возрасте, при беременности и лактации входит в список противопоказаний. Тяжелая почечная и печеночная недостаточность — тоже. Его стоимость начинается с 20 000 руб. в аптеках Москвы.
- “Сиртуро”. В качестве активного вещества выступает бедаквилин из группы диарилхинолинов. Препарат входит в список противотуберкулезных лекарств нового поколения. Создан в 2014 году, и с того момента неплохо зарекомендовал себя в составе комплексной терапии заболевания. Положительная динамика наблюдалась уже после третьего месяца применения. Стоит дорого, цена за упаковку в разных аптеках составляет от 2000 до 4000 евро.
- “Микобутин”. Синтетический антибиотик, который уничтожает любые формы туберкулеза, в т. ч. неактивные и резистентные. Информации по поводу безопасности применения во время беременности, лактации и у детей нет, потому что изучение вещества продолжается. Стоит около 25 000 за упаковку из 30 шт. В день назначают по 1 таблетке.
Отзывов о новых лекарствах немного, большинство больных не рискуют их приобретать, потому что они находятся в стадии разработки и стоят очень дорого. Те, кто все же рискнул, утверждают, что болезнь удалось победить за 2-3 месяца, тогда как стандартные медикаменты 1 ряда в большинстве случаев начинают действовать не ранее, чем через 6 месяцев.
Дополнительные лекарства и различия в классификации
Хорошо себя зарекомендовали комбинированные противотуберкулезные препараты, включающие 2-4 вещества из первого ряда. Это:
Приведенная выше классификация наиболее популярна, однако в Международном союзе по борьбе с туберкулёзом в 1-ю группу входят только средства на основе изониазида и рифампицина.
Ко второй группе они относят:
Их считают средне-эффективными.
А в третьей группе вещества обладают низкой эффективностью, это:
Исходя таких разных классификаций, можно сделать вывод, что принципы лечения туберкулеза значительно различаются. В России взят за основу первый вариант.
“Рифампицин”
Данное лекарственное средство оказывает выраженное действие на многие грамположительные микроорганизмы. Активен в отношении большинства микобактерий, в том числе атипичных.
При использовании в качестве монопрепарата быстро вызывает привыкание, и его терапевтический эффект снижается, поэтому для лечения туберкулеза его комбинируют с другими веществами первого или второго ряда, иногда применяют сочетание с резервными средствами.
Показания к применению “Рифампицина” – все формы туберкулеза, включая поражение микобактерией головного мозга.
Не назначают при:
- тяжелых поражениях печени, почек;
- всех типах гепатита;
- различных видах желтухи;
- беременности в 1 триместре.
С осторожностью прием возможен:
- беременным во 2 и 3 триместрах;
- маленьким детям;
- больным алкоголизмом;
- ВИЧ-инфицированным, получающим протеазы.
Лекарство может оказывать множество побочных эффектов, среди которых наблюдаются нарушения со стороны:
- Органов ЖКТ (тошнота, рвота, изжога, запоры, поносы, колиты, поражение поджелудочной железы).
- Эндокринной системы (дисменорея).
- ЦНС (головная боль, потеря равновесия, головокружение, нарушение координации движений).
- Сердца и сосудов (снижение кровяного давления, воспаление венозных стенок).
- Почек (некроз почечных канальцев, нефрит, нарушение функционирования органа различной степени тяжести).
- Кровеносной системы (тромбоцитопения, повышение эозинофилов, лейкопения, анемия).
- Печени (гепатиты, повышение уровня билирубина и трансаминаз).
У некоторых пациентов наблюдается индивидуальная непереносимость, что может выражаться в наличии:
- кожных высыпаний;
- отека Квинке;
- нарушении функции дыхания.
В таком случае “Рифампицин” следует заменить.
Во время терапии больные могут отмечать окрашивание всех биологических жидкостей в красноватый оттенок. Врачи уверяют, что ничего страшного в этом нет. Это не кровь, а лишь побочное действие средства, которое активно проникает в слюну, мочу, мокроту.
Нежелателен одновременный прием с:
- глюкокортикоидами – понижается их эффективность;
- изониазидом – возрастает токсичное воздействие на печень;
- оральными контрацептивами – повышает возможность развития нежелательной беременности (что в период лечения туберкулеза недопустимо);
- непрямыми коагулянтами – наблюдается ухудшение терапевтического эффекта последних;
- пиразинамидом – влияет на концентрацию рифампицина в сыворотке.
Отзывы о медикаменте довольно разные. Одни пациенты отмечают выраженный эффект и быстрое выздоровление, другие сообщают о многочисленных побочных эффектах, преимущественно со стороны печени. Многие заметили, что во время приема сильно пострадала иммунная система, появились проблемы с разрастанием грибковой флоры.
Врачи относят антибиотик широкого спектра к довольно эффективным и утверждают, что ухудшение самочувствия может наблюдаться как на фоне приема рифампицина, так и дополнительных веществ. Чаще всего побочные эффекты наблюдаются у лиц, пропускающих приемы капсул.
Показания к применению рифампицина включают возможность его использования в качестве профилактического средства.
“Изониазид”
Входит в группу гидразидов. Оказывает бактериостатическое действие на все формы туберкулеза в активной стадии и бактерицидное на палочку в состоянии покоя.
Может быть назначен в качестве профилактического средства детям, у которых проба Манту более 5 мм в диаметре, или лицам, контактировавшим с больным открытой формой болезни.
Терапия исключительно “Изониазидом” вызывает быстрое привыкание, поэтому не рекомендуется его использование в качестве монопрепарата.
В официальной инструкции по применению “Изониазида” указано, что его запрещено использовать при:
- некоторых расстройствах ЦНС, таких как полиомиелит, эпилепсия, острые психозы;
- острой почечной и печеночной недостаточности;
- наличии холестериновых бляшек на стенках сосудов.
Для лечения пациентов в раннем детском возрасте, беременных и кормящих женщин средство применяют с осторожностью. Вещество способно проникать во все биологические жидкости и вызывать задержку в развитии, неврологические и другие расстройства.
При сочетании с “Рифампицином” токсичность обоих веществ повышается.
При одновременном приеме со “Стрептомицином” замедляется выведение через почки, поэтому при необходимости использования таких комбинаций требуется принимать их с максимально возможным интервалом.
Дозировка подбирается индивидуально в каждом конкретном случае и зависит от:
- формы туберкулеза;
- наличия резистентности;
- общего состояния пациента;
- возраста, пола, веса и прочего.
Читайте также: Грибковые болезни кожи фото и названия
При длительном применении может возникнуть ряд побочных эффектов:
- желтуха;
- тошнота и рвота;
- потеря аппетита;
- чувство эйфории;
- гипергликемия;
- невроз;
- психоз;
- дисменорея;
- гинекомастия;
- головная боль;
- судороги;
- ВСД;
- повышение температуры тела;
- лихорадка;
- прочее.
В официальной инструкции по применению “Изониазида” сказано, что при появлении жалоб, связанных с началом терапии, требуется консультация врача.
По утверждению многих врачей, пациенты, принимавшие “Изониазид” в комплексе с другими средствами первого ряда, выздоравливали через 6-18 месяцев после начала лечения, но это при условии ранней диагностики. При этом побочные эффекты наблюдались только у 15 % больных.
Сами пациенты говорят, что лечение довольно тяжело переносится, но оценить действие конкретного препарата сложно, т. к. его редко назначают в качестве моносредства.
Большинство тех, кто пользовался “Изониазидом” в профилактических целях, не замечали выраженного ухудшения самочувствия.
Категорически запрещено во время лечения употреблять алкоголь — это повышает нагрузку на печень и приводит к ее быстрому поражению.
“Стрептомицин”
Относится к аминогликозидам 1 поколения. Является довольно старым антибиотиком широкого спектра действия. Применяется на протяжении многих лет для лечения туберкулеза.
В отличие от других средств, имеет натуральное происхождение. Был получен из продуктов жизнедеятельности некоторых видов микроскопических грибов.
Вещество применяется в виде инъекций по причине плохого всасывания из ЖКТ. Из организма выводится в неизменном виде. Нарушает синтез белковых молекул микобактерий, подавляет их размножение и уничтожает инфекцию.
Дозировка подбирается индивидуально. В среднем составляет 15 мг на 1 кг веса. Уколы могут ставиться 1-2 раза в день. В качестве основного препарата не подходит, для успешного устранения инфекции его комбинируют с другими медикаментами, например “Рифампицином” или “Изониазидом”.
Несмотря на естественный процесс получения лекарства, при его приеме могут возникать нежелательные реакции со стороны различных систем организма. Это может быть нарушение работы:
- слухового и вестибулярного аппарата;
- центральной и периферической нервной системы;
- органов пищеварения;
- мочеполовой системы.
Иногда наблюдается индивидуальная непереносимость “Стрептомицина”.
Медикамент начал активно применяться для лечения туберкулеза с 1946 года. В те времена удалось вылечить огромное количество людей, однако потом бактерии начали приобретать устойчивость, поэтому на данный момент применение одного “Стрептомицина” не дает нужного эффекта.
По этой причине отзывов о препарате немного, кто-то считает его эффективным, кто-то бесполезным. Врачи нередко включают такие инъекции в состав комплексной терапии туберкулеза и часто наблюдают положительную динамику.
Иногда от применения “Стрептомицина” приходится отказаться, если у больных наблюдается ухудшение слуха, которое может приводить к полной глухоте.
“Пиразинамид”
Синтетическое антибактериальное средство, применяемое для лечения туберкулеза различных форм. Производит бактериостатический и бактерицидный эффект.
Препарат “Пиразинамид” выпускают исключительно в виде таблеток, потому что наилучший эффект наблюдается при взаимодействии с кислой средой. Попадая в организм, они проникают непосредственно в очаги поражения, где воздействуют на возбудителей.
Чаще всего фтизиатры назначают его в случаях, когда у пациента уже выработалась устойчивость к “Рифампицину” и “Изониазиду”.
Его не применяют при:
- подагре;
- гиперурикемии;
- эпилепсии;
- повышенной нервной возбудимости;
- снижении функции щитовидной железы;
- тяжелых нарушениях работы печени и почек;
- беременности.
Как и любой другой противотуберкулезный препарат, “Пиразинамид” плохо переносится больными. По их утверждению, во время лечения они отмечали у себя следующие нарушения:
- Увеличение и болезненность печени, развитие различных патологий со стороны органа.
- Обострение язвенных болезней.
- Потерю или ухудшение аппетита.
- Тошноту и рвоту.
- Привкус железа во рту.
Помимо этого, прием таблеток может вызывать нарушения в работе нервной и кроветворной системы и провоцировать различные аллергические реакции — от кожных до системных.
Наиболее выраженный противотуберкулезный эффект наблюдается при одновременном приеме с:
По утверждению врачей, такие комбинации могут быстро дать положительную динамику при условии регулярного приема всех назначенных средств. Частые пропуски приема таблеток могут вызывать более выраженные побочные эффекты и отсутствие результата.
“Этамбутол”
Синтетическое антибактериальное средство, действующее исключительно на активную форму болезни. Обладает бактериостатическим эффектом, т. е. подавляет размножение возбудителя.
Неэффективен в качестве профилактического средства для лиц, контактировавших с больным, или для пациентов с подозрением на туберкулез в неактивной форме.
Входит в большинство терапевтических схем для устранения палочки Коха, особенно если к основным средствам выработалось привыкание.
Препарат “Этамбутол” не применяется при:
- наличии резистентности;
- неврите зрительного нерва;
- ретинопатиях;
- других заболеваниях глаз воспалительного характера.
В педиатрической практике может применяться с 2 лет.
Из наиболее распространенных побочных эффектов пациенты выделяют:
- тошноту и рвоту;
- боль в животе;
- головокружение;
- расстройство сна;
- увеличение количества мокроты;
- усиление кашля;
- появление сыпи и другие аллергические реакции.
ПАСК. “Циклосерин”
Относятся ко 2 ряду противотуберкулезных средств и обладают менее выраженной активностью против микобактерии.
К их применению прибегают в случае привыкания к противотуберкулезным препаратам первого ряда или в составе комплексной терапии. По сравнению с основными медикаментами, их цены значительно выше и не подходят для длительного лечения всем желающим.
Капсулы “Циклосерин”, ПАСК и другие похожие средства назначают в случаях, когда применение других медикаментов невозможно.
Их не назначают для лечения беременных женщин и маленьких детей, так как доказано их негативное влияние на формирование плода и дальнейшее развитие малыша.
Тяжела почечная и печеночная недостаточность также входит в список противопоказаний.
Пациенты, длительное время применявшие ПАСК, отмечают появление:
- зоба, вызванного снижением работы щитовидной железы;
- тошноты, рвоты, изжоги;
- сбоев в работе печени и почек;
- желтухи;
- отеков;
- лихорадки;
- прочих жалоб.
При приеме капсул “Циклосерина” нарушение работы щитовидки не наблюдается, но остальные побочные эффекты могут присутствовать. Также противотуберкулезный препарат оказывает выраженное воздействие на нервную систему, вызывая:
- Бессонницу.
- Кошмарные сновидения.
- Агрессию, раздражительность.
- Эйфорию.
- Психозы.
- Судороги.
Одновременный прием с алкоголем усиливает побочные эффекты со стороны ЦНС.
“Изониазид” и “Циклосерин” приводят к сонливости, вялости. При комбинации с ПАСК его активность повышается.
Много лет назад диагноз “туберкулез” звучал как приговор. Сегодня все изменилось. Учеными было создано множество эффективных медикаментов для лечения инфекции. Взаимодействие противотуберкулезных препаратов позволяет получить положительную динамику через несколько месяцев после начала терапии. Несмотря на свою токсичность, они помогут полностью избавиться от болезни и подарят человеку второй шанс.
Мало кто знает, какие таблетки от туберкулеза наиболее эффективные. Туберкулез является заболеванием инфекционного характера, где в роли возбудителя действует палочка Коха, которая передается воздушно-капельным путем при контакте с больным. Чаще всего болезнь поражает легкие, но встречаются случаи заболевания туберкулезом суставов, мочеполовой системы, костей и других органов тела. Симптомы распознаются не сразу, что усугубляет проблему с лечением до поздней стадии заболевания. Активная форма способна не проявляться продолжительное время по причине сильного иммунитета, который может сдерживать болезнь достаточно долго без видимых признаков.
Симптомы туберкулезной инфекции
Так как заболевание тяжело проследить в начальной форме непосредственно сразу после заражения от носителя туберкулеза, болезнь долгое время может совершенно никак себя не проявлять. Настораживающим фактором могут служить следующие изменения в организме человека:
- Без всякой на то причины не поддающееся контролю снижение веса.
- Повышенная температура.
- Частый кашель, выделение в мокроте фрагментов крови.
- Беспричинные переутомления.
- Повышенное выделение пота, особенно во время сна.
- Головные боли, сонливость.
Попадая в организм, инфекция не всегда способна активировать свои разрушительные действия. Причиной тому является сильный иммунитет, который обезвреживает возбудителя, нейтрализуя его.
Имеются факторы опасностей, способствующих переходу заболевания в прогрессирующую фазу:
- Нервные срывы, стрессовые ситуации, продолжительная депрессия.
- Недостаточное для организма количество пищи белкового характера.
- Систематическое недоедание, голодание.
- Наличие вредных привычек: систематический прием алкоголя, курение.
- Заболевания, снижающие иммунную систему человека.
Читайте также: Моллюск на ноге
Ранее перенесенные болезни в тяжелой форме способны серьезно нарушить иммунную систему человека, именно этот фактор является решающим, сможет ли организм в полной мере противостоять заболеванию, или инфицирование перейдет в активную фазу развития.
Методы выявления на ранней стадии
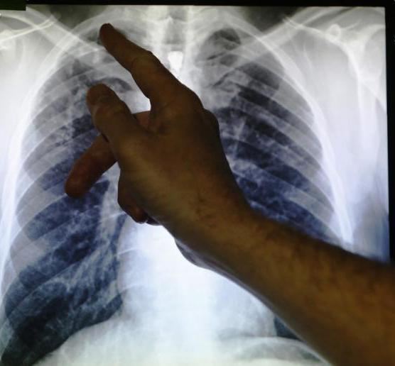
Рентген-обследование является наиболее эффективным способом для выявления туберкулеза на ранней стадии заболевания. Снимок отображает участки, пораженные болезнью, в виде потемнения на легких пациента. Еще одним из способов обнаружения инфекции является обследование на реакцию Манту, на протяжении трех суток проба позволяет сделать предположение о наличии заболевания.
Полимеразная цепная реакция относится к современным видам диагностики заболевания на ранней стадии. Исследуемый анализ мокроты с помощью ДНК-диагностики позволяет с высокой точностью выяснить наличие заболевания.
Общая информация о таблетированных препаратах для лечения
Инфекционному заболеванию, перешедшему в хроническую форму, в большей степени подвергаются мужчины в среднем и пожилом возрасте. Микобактерии в основном проявляют активность в поражении легочной ткани. Если вовремя не обнаружить и не применить лекарства от туберкулеза, болезнь может фатальным образом разрушить здоровье человека.
Препараты для лечения болезни разделяются на 3 категории. В группу 1 входят лекарства, обеспечивающие высокий эффект лечения и профилактику заболевания. Наиболее популярными являются таблетки от туберкулеза:
- Рифампицин.
- Изониазид.
- Тубазид.
Группа 2 обеспечивает средней степени эффект:
- Флоримицина сульфат.
- Стрептомицина сульфат.
- Циклосерин и другие.
Группа 3. Препараты направлены на излечение заболевания действием умеренного характера.
Отечественная фтизиатрия использует другую методику по классификации для лечения заболевания, в которой предусмотрено лекарство против туберкулеза, разделенное по двум направлениям. При терапии болезни первой группой используют следующие лекарства:
- Стрептомицин.
- Изониазид.
К резервной группе, второй, относят следующие препараты против туберкулеза:
- Циклосерин.
- Канамицин.
- Этионамид и другие.
Лечение туберкулеза легких с помощью перечисленных препаратов с соблюдением основных мероприятий выполняется строго в медицинских учреждениях под присмотром специалистов.
Средства первой линии
Перечисленные выше препараты — это лекарства от туберкулеза легких. В составе таблеток имеются антибиотики и средства синтетического происхождения. Ниже представлены основные препараты, которые, как уже выявлено на практике, наиболее эффективно излечивают заболевание и при правильно принимаемых дозах нормально переносятся пациентами.
Рифампицин. Средство относится к противомикробным ансамицинам, которые обеспечивают широкий спектр применения, включая туберкулез. Разрушающе действует на проявления в бактериях, обеспечивая связь с РНК-полимеразой, — клеткой, которая отсекает воссоединение с ДНК и подавляет транскрипцию. В задачу Рифампицина входит блокировка образований поксвирусов на последней стадии формирования. Препарат хорошо всасывается ЖКТ, а после подвергается рециркуляции.
Продолжительный его прием снижает биодоступность лекарства. Во время применения медикамента не рекомендуется использовать в пище продукты с большим процентом жиров, так как они усложняют и замедляют процесс рассасывания. Препарат принимается после назначения врачом суточной дозы на голодный желудок, запивая стаканом воды, при плохой переносимости дозировку разделяют на две части. Рифампицин принимается по двум схемам: или 3 раза в неделю, или каждый день. Лекарство запрещено давать детям, возраст которых не достиг 1 года, и пациентам, систематически употребляющим алкоголь.
Изониазид представляет препарат, основанный на кислотах изоникотинового класса, применяемых в медицинской отрасли. Повышенная бактериологическая активность, которая свойственна изониазиду, помогает противостоять микобактериям. Химиотерапевтического воздействия на возбудителей других заболеваний инфекционного характера препарат не проявляет.
Через ЖКТ изониазид путем всасывания попадает в организм и действует на протяжении суток. Наиболее высокая концентрация препарата в крови наблюдается в первые 4 часа после приема требуемой дозы. Концентрация, обеспечивающая прекращение действия туберкулезных бактерий, сохраняется в течение суток после приема. Средство обеспечивает взлом барьера гематоэнцефалической границы, которая находится между тканью мозга и кровью.
Вывод лекарства происходит главным образом через почки во время мочеотделения. Препарат хорошо зарекомендовал себя при лечении вновь выявленных очагов заболеваний, проявляющихся в острой форме. Лекарство назначается по комбинированной схеме совместно с препаратами противотуберкулезного направления: фторхинолоны, сульфаниламиды, антибиотики широкого спектра действия. Медикамент имеет различную форму выпуска: его можно вводить внутримышечно, с помощью ингаляции, внутривенно, путем приема таблеток и капсул.
Пиразинамид. Основная задача лекарства — проникновение и действие разрушительным путем на микобактерий туберкулеза. Беспрепятственно проникает в очаги, пораженные болезнью. Кислая среда способствует улучшению эффекта при лечении.
Возможна резистентность, которая снижается при совмещении с другими препаратами, применяемыми при лечении туберкулеза. Выпуск средства налажен только в форме таблеток, вещество содержит 250 и 500 мг лекарства.
Лечение таких серьезных инфекционных заболеваний, как туберкулез, самостоятельно исключено. Только постоянное наблюдение специалистов, неоднократные обследования, сдача анализов и общий контроль смогут гарантировать полное излечение от недуга. Все препараты относятся по свойствам к химиотерапевтическим веществам, которые требуется принимать на протяжении длительного времени без перерывов.
Применение лекарственных средств
Как всякие медицинские препараты, таблетки от туберкулеза имеют свои особенности и ограничения в приеме при лечении туберкулеза легких.
- Пиразинамид. Препарат выпускается только в форме таблеток, принимают во время завтрака, запивая небольшим количеством жидкости. Временами наблюдается частичная непереносимость лекарства, в этом случае дозировку следует разделить на 2 или 3 раза. Во время приема пациенты могут ощущать неприятный металлический привкус во рту, расстройство желудка, тошноту. Этамбутол, Рифампицин совместимы с препаратом для продолжительного приема хронических форм заболевания. Увеличивается вероятность развития гепатотоксического воздействия во время совмещения с Рифампицином, тогда как Этамбутол смягчает побочные действия, но эффект от лечения ослабевает.
- Изониазид. Различная форма выпуска дает возможность широкомасштабно использовать препарат для лечения хронического туберкулеза. Во избежание побочных действий используют Пиридоксин, который вводится внутримышечно одновременно или позднее, через 30 минут после приема. Курс лечения препаратом назначается врачом, требуемый период для выздоровления колеблется от 1 месяца до полугода.
- Рифампицин. Препарат принимается больным до приема пищи и запивается жидкостью. Назначается как перорально, так и внутривенно с помощью капельницы. В случае плохой переносимости препарат разделяют для приема суточной дозы на части. При лечении легочного туберкулеза препарат используют поэтапно, разделив на три схемы приема, сочетая с другими препаратами.
Побочные действия
Вышеизложенные препараты способствуют излечению от серьезного инфекционного заболевания, но при этом не стоит умалчивать об их побочных действиях. Только непосредственный контроль медицинских работников способен предотвратить нежелательные воздействия лекарств на организм человека во время их приема и в дальнейшем.
- Рифампицин. Запрещено принимать при перенесенном менее одного года назад инфекционном гепатите, желтухе, тяжелой форме легочно-сердечной недостаточности, ХПН, в период лактации, в младенческом возрасте.
- Изониазид. Запрещено назначать больным, перенесшим ранее полиомиелит, с нарушениями работы печени и почек, при атеросклерозе, склонности к судорожным припадкам, эпилепсиям. Крайне осторожно нужно назначать прием при беременности, легочно-сердечной недостаточности. У пациентов, страдающих эпилепсией, могут участиться случаи приступов. При воспалении вен препарат строго запрещен. В редких случаях во время приема у мужчин может наблюдаться гинекомастия, у женщин меноррагия. При лечении пациенты могут испытывать в легкой форме эйфорию, ухудшение периода сна, иногда наблюдается развитие психоза.
- Пиразинамид. Отмечены нарушения пищеварительной системы: диарея, плохое самочувствие, тошнота, рвота. Во время приема во рту чувствуется неприятный металлический привкус. Препарат нарушает функцию работы печени, ухудшается аппетит, обостряются гептические язвы. Наблюдаются нежелательные побочные действия со стороны ЦНС в виде головокружений, головных болей, нервозности, депрессивного состояния. Возможны аллергические проявления на коже рук: покраснения, сыпь.
Назначать препараты для лечения туберкулеза вправе только врач после тщательных комплексных обследований пациента в медицинских учреждениях, любое самолечение может привести не только к нежелательным результатам, но также к фатальному исходу.




