Несмотря на важность для человека, виду L. brasiliensis, как и другим представителям этого рода уделяется незаслуженно мало внимания в медицинском сообществе.
Болезнь, вызываемая этим одноклеточным паразитом, поражает преимущественно низшие слои населения в развивающихся странах Южной и Центральной Америки. Как и другие представители лейшманий, этот вид обитает только в тропиках и субтропиках. Как для вида бразилиенсис, так и в целом для рода Лейшмания в России и странах ближнего зарубежья выявлены только завозные случаи лейшманиозов.
Случаи регистрации таких заболеваний связаны с поездками в регионы с тропическим и субтропическим климатом.
Определение
Микроорганизмы попадают в клетки кожи или внутренних органов, и там паразитируют. Несмотря на то, что лейшманиоз считается забытым заболеванием, случаи заражения регулярно отмечаются в 88 странах мира. Большая часть стран относится к развивающимся, 13 из списка беднейшие страны мира.
Врачи отмечают, что Leishmania brasiliensis представляет собой серьезную угрозу для здоровья населения южноамериканских тропиков. Этот паразит, передаваемый через укусы москитов, вызывает различные формы лейшманиоза, включая кожные и висцеральные формы, которые могут приводить к тяжелым осложнениям. Специалисты подчеркивают, что отсутствие адекватной диагностики и лечения может привести к хроническим заболеваниям и даже смерти. Врачи призывают к повышению осведомленности о симптомах и путях передачи инфекции, а также к разработке эффективных программ профилактики. Они также акцентируют внимание на необходимости улучшения условий жизни в эндемичных регионах, что поможет снизить риск заражения и распространения этого опасного заболевания.

Строение Leishmania braziliensis
В своем развитии лейшмании проходят 2 стадии. В теле москита паразиты находятся в жгутиковой, подвижной форме (лептомонадная форма), в организме млекопитающих в безжгутиковой форме, внутриклеточно (лейшманиальная форма).
- Промастиготы (жгутиковые формы) подвижные, имеют веретенообразное тело от 10 до 20 мкм в длину. Жгутики длиной от 15 до 20 мкм. Размножаются путем продольного деления.
- Амастиготы (безжгутиковые формы) имеют овальное тело от 2 до 6 мкм в длину. 1/3 объема клетки занимает округлое ядро. Размножаются путем простого деления.
Культивирование
Лейшмании легко вырастить в лабораторных условиях. В культурах клеток лейшмании имеют овальную форму, жгутик отсутствует (аманзигота). В бесклеточных средах паразиты имеют веретенообразную форму и жгутик у переднего конца (промастигота).

Лейшмания не проявляет чувствительности к антибиотикам.
Leishmania brasiliensis — это один из самых опасных эндемиков южноамериканских тропиков, вызывающий лейшманиоз. Местные жители часто делятся своими тревогами по поводу этого заболевания, которое передается через укусы москитов. Многие рассказывают о случаях, когда инфекция приводила к серьезным кожным поражениям и даже затрагивала внутренние органы. Врачи отмечают, что болезнь может проявляться различными симптомами, что затрудняет диагностику на ранних стадиях. Люди также подчеркивают важность профилактических мер, таких как использование репеллентов и защитной одежды. Несмотря на усилия властей по борьбе с москитами, страх перед этой болезнью остается высоким, и многие надеются на разработку эффективных вакцин и методов лечения.

Жизненный цикл
Заражение лейшманиями происходит при укусах москитов. Москиты заражаются паразитами при сосании крови больного человека или животного.
- В кишечнике москита уже в первые сутки амастиготы (безжгутиковые формы) превращаются в промастиготы (жгутиковые формы) и начинают интенсивно делиться.
- На 6-8 сутки огромное количество промастигот скапливается в глотке и хоботке насекомого, перекрывая выход наружу.
- После укуса из-за блокирования пищеварительного канала самка не может глотать. У нее возникают спастические движения, что способствует отрыгиванию промастигот в ранку на коже (от 100 до 1000 при одном укусе).
- После инвазии внутри макрофагов жгутиковые формы лейшманий превращаются в безжгутиковые формы. Размножение паразитов сопровождается острой воспалительной реакцией.
Лейшмания у человека
Лейшманиозы у человека могут иметь много форм, причем способы заражения всегда одинаковы укус москита. Наиболее распространенными являются следующие:
- Висцеральная одна из наиболее сложных форм заболевания, приводящая без срочной терапии к летальному исходу. ЛПаразиты через кровь проникают в любые органы, включая печень, селезенку, лимфатические узлы, костный мозг и начинают быстро размножаться, повреждая их.
- Кожная одна из наиболее распространенных форм, при которой место укуса сразу начинает болеть. Лечение очень длительное, в течение нескольких месяцев; на пораженных местах остаются шрамы.
- Диффузно-кожная также широко распространенная форма, которая по внешнему виду очень похожа на проказу и плохо поддается лечению.
- Слизистая начинается с появления на коже язв, что вызывает повреждение тканей, особенно носа и ротовой полости.
Существуют и другие, не такие распространенные, но не менее опасные для человека виды лейшманиоза:
- Последовательная лейшманиома;
- Туберкулоидный и диффузный лейшманиоз.
Зоонозный кожный лейшманиоз Старого Света
Зоонозный кожный лейшманиоз старого Света или пустынный (пендинская язва, сартская язва, багдадский, алеппский, восточный или делийский фурункул и др.) распространен, в основном, в регионах Средней и Малой Азии, Северной и Западной Африке, Туркменистане и Узбекистане.
Пути заражения
Переносчиками лейшманий являются москиты, которые инфицируются, когда кусают больное животное или человека. То есть, если москит, укусивший зараженного человека, укусит здорового, произойдет заражение.
Носители простейших микроорганизмов (Leishmania) именуются резервуарами. Резервуаром могут быть любые позвоночные, к примеру, животные псовые (лисы, шакалы, собаки), грызуны (песчанки, суслики).
Причем в резервуарах лейшмании находятся в незрелой жгутиковой форме, затем в глотке москита переходят в активную подвижную форму. Когда москит жалит человека, зрелые простейшие лейшмании попадают в рану, проникают в организм и паразитируют в клетках, поражая кожу или внутренние органы.
Инфицированные москиты остаются заразными на протяжении всей жизни и могут передать заболевание большому количеству людей и животных.
Возбудители
Заболевание вызывается около 20 видами лейшманий, основными из которых являются Leishmania tropica major и Leishmania aethiopica.
Резервуар паразитов
Резервуаром паразитов являются мелкие грызуны: крысы, мыши, песчанки.
Переносчики
Переносчиками лейшманий являются москиты рода Phlebotomus (P. papatasi и др.).
Сезонность
Максимальная активность москитов отмечается в осенние месяцы период лета насекомых. Заболевание характеризуется ползучим характером распространения.
Зоонозный кожный лейшманиоз Нового Света
Заболевание распространено в южных регионах Соединенных Штатов, Центральной и Южной Америке. Оно носит название бразильский, мексиканский и перуанский кожный лейшманиоз.
Резервуар возбудителей
Грызуны и многочисленные домашние и дикие животные.
Пик заболеваемости отмечается в сезон дождей, в основном, среди жителей сельских местностей.
Переносчики инфекции
Москиты рода Lutzomyia.
Клиническая картина
Сходна с таковой при африканских и азиатских типах кожных лейшманиозов, за исключением каучуковой язвы. Данное заболевание вызывается L.mexicana подвид mexicana, которые переносятся москитами Lutzomyia olmeca, регистрируется в Мексике, Белизе и Гватемале. Болеют, в основном, сборщики каучука и лесорубы. Язвы, возникшие чаще на коже шеи и ушах безболезненные, существуют несколько лет. Заболевание приводит к грубой деформации ушных раковин. В народе это носит название ухо чиклеро (чиклеро сборщик каучука). Без лечения язва заживает самостоятельно в течение полугода.
Разновидности
Подвидов лейшманиоза множество, в зависимости от региона распространения. Выделяют три основных клинических вида:
- Кожный. Также болезнь называют тропической язвой, каучуковой язвой, язвой Алеппо, мексиканским лейшманиозом, язвой Дели. В Южноевропейских странах, Африке и Азии кожные проявления провоцируют виды лейшманий major и tropica. Вид лейшманий braziliensis распространен в Америке и Мексике. Часто факт инфицирования фиксируется среди жителей Афганистана или Ирака. Болезни подвергаются туристы Израиля и Южной Америки.
- Кожно-слизистый. Вызывает подвид braziliensis и прочие виды лейшманий. Паразиты внедряются в лимфоузлы.
- Лейшманиоз внутренних органов. Также называется калк-азар, лихорадка думдум. Возбудитель donovani, infantum/chagasi. Такой вид отмечается в Индии, Америке, Африке, странах Средиземноморья, Центральной Азии и даже в Китае.
Симптомы лейшманиоза
Первое время после заражения лейшманиоз может остаться незамеченным, инкубационный период, когда симптоматика отсутствует, длится от 3 месяцев до 1 года. Заметить возможно только фурункул, который возникает на месте укуса насекомого. Далее болезнь развивается в зависимости от разновидности. Рассмотрим их ниже.
Как отличить лейшманиоз от простого фурункула и правильно начать лечение? На этот вопрос вам ответит данная статья, где вы найдете информацию о том, что такое фурункул и карбункул. Поймете, в чем их отличия между собой, а также чем они отличаются от лейшманиоза.
Висцеральный лейшманиоз
Симптомы такого вида возникают через 3- 5 месяцев с момента заражения.
Чаще болезнь проявляется постепенно: возникает слабость, общее недомогание, пропадает аппетит. Затем развивается лихорадка, температура поднимается до 39 40 градусов, жар может спадать и появляться вновь. Увеличиваются лимфоузлы.
Но первым признаком, возникающим практически сразу после укуса, является папула, покрытая чешуйками.
При такой разновидности болезни поражаются внутренние органы увеличивается селезенка и печень.
Со временем поражение печени становится критическим, вплоть до асцита (выпота в брюшной полости). Поражается костный мозг.
Чаще такой форме подвержены дети. В связи с увеличением внутренних органов, характерен увеличенный живот.
Кожный лейшманиоз
Симптоматика данной разновидности начинается с первичного очага поражения лейшманиомы.
Это специфическая гранулема на коже, состоящая из клеток эпителия (соединительной ткани), плазматических клеток (которые продуцируют антитела) и лимфоцитов (клеток иммунной системы).
Также возможен некроз (отмирание) тканей. Здесь инкубационный период более короткий от 10 до 40 дней. Первичное поражение начинает быстро увеличиваться, достигает 1,5 см.
Через несколько дней появляется язва с тонкой корочкой. Затем корочка отпадает, обнажая розовое дно язвы.
Сначала в язве присутствует серозная жидкость, затем появляется гной. Через пару дней дно язвы высыхает, гной уходит, происходит рубцевание.
Гранулема кожи это воспаление на кожных покровах, которое можно спутать с лейшманиозом.
Кожный вид заболевания делится на несколько подвидов:
- Последовательная форма. Рядом с первичной гранулемой появляется множество мелких поражений, которые проходят вышеописанные стадии.
- Туберкулоидная форма. Вокруг рубца первичного поражения и даже на самом рубце появляются бугорки, которые увеличиваются и сливаются друг с другом. Иногда бугорки вскрываются и превращаются в язвы.
- Диффузно-инфильтративная форма. Характеризуется утолщением кожи и инфильтратами (скоплением клеток с примесью крови и лимфы). Может поражаться значительная часть кожного покрова. Со временем инфильтрат рассасывается самостоятельно. При такой разновидности язвы появляются крайне редко.
- Диффузная форма. В такой форме болезнь протекает у людей с пониженным иммунитетом, например ВИЧ-положительных. Характерно обширное распространение язв по всему телу, причем процесс этот хронический.
Лейшманиоз слизистых
Данная форма также возникает при наличии первичных специфических гранулем кожи. Сначала возникают обширные язвы на теле, чаще на руках и ногах.
Затем поражаются слизистые оболочки носа, щек, гортани, глотки. Там появляются некрозы (отмирает ткань) и язвы. Поражения разрушают хрящевую ткань, поэтому возможна деформация лица.
Подробнее о путях заражения лейшманиозом и разновидностях заболевания расскажет врач-инфекционист:
https://youtube.com/watch?v=bYqkpIYh27c%3Ffeature%3Doembed
Диагностика
При диагностике лейшманиоза сначала проводится тщательный опрос, собирается анамнез. Выявляется, был ли человек в эпидемиологически опасных по лейшманиозу зонах. Затем проводят следующие диагностические процедуры:
- При кожном или кожно-слизистом лейшманиозе берут мазки из бугорков или язв. Затем образцы отправляют на бактериологическое исследование.
- Проводятся микроскопические исследования. Сначала делают забор материала при кожных поражениях из язв, при висцеральном типе делают пункцию (прокол с забором материала) костного мозга, лимфоузлов, селезенки. Далее образцы окрашивают по Романовскому-Гимзе. Лейшмании это простейшие микроорганизмы, при таком окрашивании они приобретают голубой цвет, а ядра становятся красно-фиолетовыми.
- Проводят серологические исследования крови. Для этого берут кровь из вены и анализируют содержание антител к лейшманиозу. Если титр антител высок, это подтверждает наличие заболевания. Отсутствуют антитела у людей с заболеваниями иммунной системы (СПИД).
Лечение висцерального типа
Традиционная терапия проводится медицинскими препаратами на основе сурьмы. Назначают следующие медикаменты:
- 
- Пентостам действующее вещество натрия стибоглюконат или соединение пятивалентной сурьмы и глюконовой кислоты. Аналог Солюсурьмин.
 
- 
- Глюкантим действующее вещество пентакаринат, это специфическое противопротозойное средство, то есть лекарство, которое избавляет от простейших.
 
- 
- Амфотерицин В назначают при резистентности (устойчивости) к перечисленным выше препаратам. Это противогрибковое средство, клинически эффективное при лейшманиозе.
 
Пациенту показан постельный режим. При присоединившихся бактериальных инфекциях применяют антибиотики.
Необходимо усиленное питание. Возможна дополнительная симптоматическая терапия.
К примеру, при поражениях печени дают гепатопротекторы (Гептрал, Эссенциале). В сложных случаях проводят хирургическое вмешательство спленэктомию (удаление селезенки).
Лечение кожного лейшманиоза
При небольших поражениях кожи можно обойтись местной обработкой язвы:
- Непосредственно внутрикожно в область лейшманиомы вводят инъекционно стибоглюконат натрия.
- Применяется тепловая терапия или криодеструкция замораживание участка кожи жидким азотом с последующим отмиранием пораженной ткани.
При обширных поражениях терапия идентичная лечению висцеральной формы. Также для небольших кожных поражений эффективны антимикозные средства противогрибковые системные препараты длительным курсом (до 8 недель) Флуконазол, Итраконазол.
Лечение кожно-слизистой формы
Здесь применяют описанную выше системную терапию, однако лечение гораздо сложней, ввиду того, что поражаются все слизистые и даже искажается лицо за счет разрушения хрящевой ткани.
Лечение
Лечение назначается исходя из разновидности и распространенности болезни. При висцеральном и кожно-слизистом применяется системная терапия. При кожном лейшманиозе с небольшой площадью поражений возможно местное лечение (мазями).
Висцеральная форма
Применяют, как правило, следующие препараты пятивалентной сурьмы (внутривенно или внутримышечно): Пентостам, Глюкантим, Солюсурмин, Амфотерицин В, а при их неэффективности проводится хирургическое вмешательство спленэктомия (удаление селезенки). Если поражена печень, назначаются гепатопротекторы Гептрал, Эссенциале.
Кожная форма
Наряду с указанными выше препаратами, дополнительно назначается прогревание и УФО либо криодеструкция, когда соответствующий участок замораживают с помощью жидкого азота, после чего пораженная ткань отмирает. Если площадь поражения мала, то возможно назначение местного лечения мазями, а также длительный (до 2 месяцев) курс противогрибковых системных препаратов Флуконазол, Итраконазол.
Народные средства
Народная медицина в отношении лейшманий бессильна, однако при кожной форме есть эффективные рецепты, которые в сочетании с медикаментозной терапией способствуют заживлению язв и лейшманиом.
При кожно-слизистой форме
Лечение крайне сложное из-за поражения всех слизистых и разрушения хрящевой ткани, из-за чего даже может искажаться лицо. Применяется системная терапия, описанная выше.
Отвар дурнишника
Как приготовить: 10 грамм сухой травы дурнишника залейте стаканом воды. Доведите до кипения, кипятите на медленном огне 3 минуты. Затем дайте настояться в течение часа.
Как использовать: протирайте пораженные места отваром дважды в день в течение месяца. Трава дурнишника прекрасно избавляет от вторичных бактериальных и грибковых инфекций, снимает воспаление. Особенно отвар эффективен при гнойных язвах.
Мазь из корня девясила
Ингредиенты:
- Корень девясила сушеный 50 гр.
- Вазелин 200 гр.
Как приготовить: измельчите корень девясила, смешайте с вазелином до однородной массы.
Как использовать: смазывайте пораженные места, язвы и бугорки полученным составом на ночь. Мазь применяется длительным курсом до нескольких месяцев. Корень девясила содержит натуральные смолы, воск, эфирные масла, витамин Е, полисахарид инулина. Такой состав прекрасно справляется с различного рода воспалениями и ускоряет заживление.
Собаки при лейшманиозе.
Множественные и коалесцирующие красноватые узловые повреждения на ростральной части языка собаки, вызванные Leishmania spp.
Лейшманиоз у собак
Типичная кожная язва при лейшманиозе на передней конечности пятилетней собаки, связанной с инфекцией Leishmania spp.
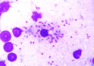
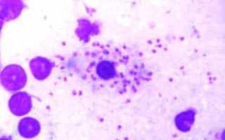
Костный мозг собаки, больной лейшманиозом
Многочисленные амастиготы с круглым ядром и плоским кинетопластом присутствуют в цитоплазме макрофага (окраска по Райт-Лейшману).
Leishmania spp. у позвоночных хозяев развивается векторами промастигот или амастигот. Оба этапа способны реплицироваться через двоичное деление, но не в пределах одного и того же хозяина [14]. Низкое число паразитов распространены в хронических случаях, когда инфицированные макрофаги или отдельные амастиготы входят в системный кровоток и медленно распространяются на внутренние органы, ведущие к внутреннему заболеванию.
Клинические признаки обычно проявляются у более старых собак (> 3 лет). IgG1, по-видимому, коррелирует с клиническим заболеванием, в то время как бессимптомные собаки имеют более высокие уровни антител IgG2 [15].
Симптомы лейшманиоза у собак
Симптомы инфекций собак, обусловленных лейшманиями включают дерматит кожных покровов, блефарит, стоматит, летаргию, анорексию, носовое кровотечение, потерю веса, лихорадку, локальную или генерализованную лимфаденопатию, остеомиелит, гепатоспленомегалию и простатит. Вовлечение в патологический процесс суставов также довольно распространено и может проявляться в виде хромоты с опухшими суставами или просто как жесткая походка.
Менее распространенные клинические симптомы лейшманиоза собак включают полирадикулоневрит, увеит, хроническую диарею и длинные деформированные ломкие ногти, называемые онихогриффиз.
Лабораторный анализ обычно обнаруживает гиперглобулинемию, часто в сочетании с гипоальбуминемией. Электрофорез в сыворотке крови у больных лейшманиозом собак обычно обнаруживает поликлональную гаммапатию, состоящую в основном из иммуноглобулинов IgG и некоторых белков острой фазы. Данное явление можно спутать с плазмоцитомой или эрлихиозом. Протеинурия и гематурия довольно распространены, связанные с основным гломерулонефритом, который, если присутствует, часто смертелен. Также обычно наблюдаются повышенная активность аспарагиновой и аланинаминотрансферазы в сыворотке крови больных лейшманиозом собак.
Диагностика лейшманиоза у собак
Лечение собак, больных лейшмниозом, может быть успешным:
- Аллопуринол в отдельности или в сочетании с пятивалентным антимонимом, таким как меглумин-антимонит или натрий-стибоглуконат.
- Милтефозин отдельно или в сочетании с марбофлоксацином или аллопуринолом.
- Амфотерицин B.
- Пентимидин-изетионат.
- Кетаконазол, миконазол, флуконазол и итраконазол также были испытаны.
Недавняя профилактическая вакцинация собак в Бразилии привела к сокращению заболеваемости собак и человека лейшманиозом.
Осложнения и прогноз
- Лейшманиоз часто является пусковым механизмом развития вторичных гнойно-некротических инфекций.
- Прогноз тяжелого висцерального лейшманиоза при отсутствии или несвоевременно начатом лечении часто неблагоприятный.
- Случаи кожного лейшманиоза имеют благоприятный прогноз, но в ряде случаев возможны косметические дефекты.
Профилактика
В широком смысле профилактика лейшманиоза заключается в мероприятиях по борьбе с животными-носителями и насекомыми переносчиками. Для этого в опасных районах ликвидируют пустыри и свалки, осушают подвальные помещения, избавляются от грызунов, проводят инсектицидную обработку. Рекомендуют населению использовать репелленты (вещества, отпугивающие насекомых, в частности москитов).
В частных случаях для предотвращения заражения лейшманиозом, к примеру, туристам, собирающимся в местность, где болезнь широко распространена, рекомендуют вакцинацию. Существует живая вакцина штамма L. major, которая эффективно предотвращает заражение.
Вопрос-ответ
Чем опасен кожный лейшманиоз?
Лейшманиоз слизистой оболочки поражает преимущественно носоглоточные ткани и может вызвать обширное повреждение носа и неба. Висцеральный лейшманиоз вызывает нерегулярную лихорадку, гепатоспленомегалию, панцитопению и поликлональную гипергаммаглобулинемию с высокой смертностью у нелеченных пациентов.
Каков жизненный цикл Leishmania tropica?
Инкубационный период от 2 мес до 2 лет. Стадия бугорка и инфильтрата продолжается 4-6 мес, стадия язвы — 6 мес, период рубцевания — 1-2 мес. Общая продолжительность болезни до 1 года.
Как человек заражается лейшманиозом?
Механизм передачи Паразиты Leishmania передаются при укусах инфицированных самок москитов, которые для откладывания яиц питаются кровью. Естественными резервуарами паразитов Leishmania могут выступать около 70 видов животных, включая человека.
Где можно заразиться лейшманиозом?
Заболевание распространено в тропических и субтропических странах Африки, Средиземноморья и Центральной Азии (наибольшее количество заболевших регистрируется в Узбекистане и Туркменистане).
Советы
СОВЕТ №1
Изучите информацию о Leishmania brasiliensis и ее переносчиках. Понимание того, как происходит заражение и какие насекомые являются основными переносчиками, поможет вам лучше защитить себя во время путешествий в тропические регионы Южной Америки.
СОВЕТ №2
Используйте репелленты и защитную одежду. Наносите на открытые участки кожи репелленты, содержащие DEET или пикаридин, и носите одежду с длинными рукавами и брюками, чтобы минимизировать риск укусов насекомых.
СОВЕТ №3
Избегайте ночных прогулок в местах, где могут обитать переносчики. Leishmania brasiliensis чаще всего передается в ночное время, поэтому старайтесь оставаться в безопасных помещениях после заката и избегайте мест с высокой концентрацией насекомых.
СОВЕТ №4
Обратитесь к врачу при первых симптомах. Если вы заметили необычные кожные высыпания или другие симптомы, такие как лихорадка и усталость, после возвращения из тропиков, немедленно обратитесь к врачу для диагностики и лечения.






 


 
 

 









 
							
							
						 
							 
 
