Полисорб МП – современный препарат, обладающий широким спектром действия. Благодаря своим абсорбирующим свойствам он эффективно поглощает токсины в организме, последовательно выводя из кишечника все эти вредные вещества. Само средство не проникает в кровоток и не всасывается в отделах кишечника. Главное преимущество препарата – его универсальность. Ведь действие полисорба не ограничивается исключительно патогенными микроорганизмами, а распространяется на все типы веществ экзогенного и эндогенного происхождения, которые могут нанести вред здоровью. Рассмотрим подробнее, что полисорб МП лечит, не вреден ли он и какие схемы приема следует соблюдать в каждом конкретном случае.
Состав и форма выпуска препарата
Полисорб имеет однокомпонентный состав.
В качестве единственного активного компонента выступает высокодисперсный диоксид кремния, обладающий свойствами абсорбции и детоксикации
. Выпускается препарат исключительно в форме порошка белого цвета для приготовления суспензии, без каких-либо посторонних запахов. Порошок расфасован в пластиковые емкости различного объема или небольшие пакетики, в которых содержится разовая доза препарата.
Оригинальное название лекарственного препарата – полисорб МП. Иногда можно встретить название без приставки МП в конце. Но на самом деле речь идет об одном и том же медикаментозном средстве, а сокращение применяется исключительно для удобства произношения.
Полисорб МП является современным сорбентом, который активно используется в медицинской практике для детоксикации организма. Врачи отмечают его эффективность при различных интоксикациях, аллергических реакциях и пищевых отравлениях. Препарат обладает высокой адсорбционной способностью, что позволяет ему связывать и выводить токсины, тяжелые металлы и другие вредные вещества.
Способы применения Полисорба разнообразны. Его можно использовать как в стационарных условиях, так и для домашнего лечения. Врачи рекомендуют принимать препарат в виде суспензии, предварительно растворив его в воде. Дозировка зависит от возраста пациента и характера заболевания. Важно отметить, что Полисорб не всасывается в кровь и не оказывает системного действия, что делает его безопасным для большинства пациентов.
Однако специалисты подчеркивают, что перед началом курса лечения необходимо проконсультироваться с врачом, чтобы избежать возможных побочных эффектов и подобрать оптимальную схему применения. Полисорб МП зарекомендовал себя как надежное средство для поддержания здоровья и очищения организма.

Действие препарата и показания к применению
Полисорб – это сорбент химического происхождения, характеризующейся высокой эффективностью в отношении токсинов различного происхождения. Диоксид кремния обладает более мощным сорбционным действием, чем аналогичные вещества (метилкремниевая кислота, активированный уголь или лигнин). А благодаря высокой активности в отношении ядов и процессу их выведения организма, детоксикационный эффект проявляется в более короткие сроки, чем при лечении другими препаратами.
Еще одно положительное качество препарата – его универсальность в воздействии на токсины. Полисорб МП одинаково проявляет активность в отношении как экзогенных ядовитых веществ, так и продуктов распада, образовавшихся в ходе обменных процессов в самом организме. В целом лекарственное средство используют для выведения токсинов следующего типа:
- патогенная микрофлора (вирусные клетки, бактерии, грибковые микроорганизмы) и продуцируемые ей токсические вещества;
- пищевые аллергены;
- медикаментозные препараты;
- тяжелые металлы и их соединения (соли);
- радиоактивные вещества;
- яды химического и растительного происхождения;
- этанол и продукты его распада;
- избыточное количество холестерина, билирубинемия;
- мочевина.
Учитывая универсальность препарата, показания к его приему не ограничиваются легкими кишечными отравлениями. Так, во многих странах
полисорб включен в общую схему лечения многих заболеваний, включая вирусные инфекции типа гриппа и простуды
. Такой комплексный подход к лечению позволяет существенно сократить продолжительность болезни и облегчить ее течение.
Согласно инструкции по применению, показания к приему полисорба включают:
- острое отравление у взрослых и детей независимо от этиологии;
- кишечные инфекционные заболевания, вызванные воздействием патогенной микрофлоры;
- пищевое отравление при употреблении зараженной или просроченной продукции;
- расстройство пищеварения, дисбаланс микрофлоры кишечника;
- воспалительные заболевания, носящие гнойный характер, провоцирующие интоксикацию организма;
- острое токсическое отравление (яды, лекарственные препараты, этанол, ртуть и другие);
- для профилактики диатеза, пищевой аллергии, атопического дерматита;
- в составе комплексной терапии гепатита вирусного типа и желтухи для снижения концентрации билирубина;
- патология почек, почечная недостаточность при повышенной концентрации азотистых веществ в организме;
- в качестве профилактики отравлений в условиях вредного производства.
Если рассматривать ситуации в целом, то прием полисорба обоснован при любых состояниях, сопровождающихся симптомами интоксикации различной интенсивности.
Инструкция к применению
Дозировка порошка и длительность курса лечения зависит от типа заболевания и возрастной категории пациента. Принимают порошок внутрь, предварительно разведя необходимое его количество в воде. Рекомендуется готовить раствор непосредственно перед употреблением, в случае необходимости допускается хранение готовой суспензии в течение непродолжительного времени (в холодильнике). Абсорбент полисорб в таблетках не выпускается.
Сухой порошок без предварительного разведения употреблять запрещено!
Принимать сорбент необходимо за час до приема пищи либо спустя полтора часа после него. В комплексном лечении пищевой аллергии показан прием непосредственно во время еды. Одновременный прием полисорба с другими лекарственными средствами возможен только при соблюдении временных интервалов (не менее 1 часа).
Для расчета дозировки необходимо учитывать вес пациента, который будет принимать препарата. В качестве мерной емкости используется стандартная чайная и столовая ложка. В 1 ч. л. с верхом содержится 1 г препарата, в 1 ст. л. с верхом – 3 г лекарственного средства. Рекомендуемая разовая доза для ребенка составляет 1 ч. л., для взрослого – 1 ст. л. Значения приблизительны и могут корректироваться врачом в соответствии с течением заболевания и тяжестью симптомов. Случаи передозировки порошком сорбента неизвестны.
Рекомендуемая дозировка согласно аннотации и в зависимости от веса пациента представлена в таблицы.
| Вес | Рекомендуемая доза порошка полисорб МП | Количество воды для приготовления суспензии |
| 10 кг и меньше | 0,5-1,5 ч. л. в течение суток | 50 мл |
| от 11 до 20 кг | 1 ч. л. на каждый прием | 50 мл |
| от 21 до 30 кг | 1 ч. л. с верхом на каждый прием | 70 мл |
| от 31 до 40 кг | 2 ч. л. с верхом на каждый прием | 100 мл |
| от 41 до 60 кг | 1 ст. л. с верхом на каждый прием | 100 мл |
| 60 кг и больше | 2 ст. л. с верхом на каждый прием | 150 мл |
Схема лечения и продолжительность курса будет зависеть от показаний к приему препарата. В одних случаях для снятия симптомов интоксикации и нормализации состояния больного может быть достаточно нескольких дней, в других – прием полисорба должен быть продлен до 2 недель. При необходимости курс лечения проводят повторно.
При наличии показаний курс повторного приема препарата полисорб МП проводят только после двухнедельного перерыва.
Полисорб МП – это популярный сорбент, который активно используется для очищения организма от токсинов и вредных веществ. Многие пользователи отмечают его эффективность при различных отравлениях, аллергиях и расстройствах пищеварения. Препарат обладает высокой адсорбционной способностью, что позволяет ему связывать и выводить из организма не только токсичные вещества, но и продукты обмена.
Способы применения Полисорба разнообразны: его можно использовать как при острых отравлениях, так и для профилактики в период сезонных аллергий. Часто его рекомендуют принимать перед медицинскими процедурами для улучшения состояния организма. Важно соблюдать рекомендованные дозировки и режим приема, чтобы достичь максимального эффекта. Пользователи также подчеркивают, что Полисорб не вызывает побочных эффектов, что делает его безопасным выбором для большинства людей.

Пищевое отравление
Своевременное очищение организма от патогенных микроорганизмов, токсинов и ядовитых веществ при остром пищевом отравлении – обязательный этап лечения. И для достижения максимального эффекта рекомендуется начинать терапию с промывания желудка, что позволит предупредить всасывание в кровь еще не распространившейся инфекции. Для промывания используется 1%-ный водный раствор полисорба для детей и 2%-ный раствор для взрослых (1-2 ч. л. на 100 мл воды). Спустя 3 часа после промывания сорбент полисорб принимают внутрь в соответствии с дозировкой (2 ст. л. для взрослого). Оставшиеся 2 ст. л. порошка разводят водой, а готовую суспензию делят на несколько приемов с интервалом 1,5 часа.
При тяжелом течении заболевания спустя 6 часов потребуется повторное промывание желудка. В этом случае прием препарата осуществляется по стандартной схеме 2-3 раза в сутки по 1 ст. л. с верхом. На второй день лечение продолжается, дополнительное очищение желудка уже не требуется. В зависимости от состояния больного продолжительность приема препарата может быть увеличена до 5 дней.
В дополнение к приему препарата рекомендуется употребление большого количества жидкости для восстановления водного баланса и предупреждения обезвоживания организма вследствие диареи.
Кишечная инфекция
К числу возбудителей кишечной инфекции относятся стафилококки, сальмонеллы, вирусы и грибки, проникающие в организм при несоблюдении гигиены рук и употреблении в пищу зараженных продуктов. Это совокупность различных заболеваний, поражающих нижние отделы пищеварительного тракта. Общие симптомы заражения – рвота, диарея и повышение температуры. Лечение подбирается в зависимости от типа патогенной микрофлоры, оно может включать прием противовирусных, противогрибковых или антибактериальных препаратов. Но главным пунктом проводимой терапии остается прием сорбентов, помогающих очистить организм от ядов и снять симптомы интоксикации.
При острой кишечной инфекции в первые сутки полисорб МП принимается по 1 ст. л. через каждый час. Максимальная допустимая суточная доза для взрослого оставляет 5 ст. л. препарата. На следующие сутки сокращается количество приемов – 4 раза. На третьи сутки после оценки состояния больного препарат отменяется. При необходимости курс лечения может быть продлен еще на 3 дня по стандартной схеме (трижды в сутки).
https://youtube.com/watch?v=TWbYG7I3c2Q
Вирусный гепатит и сорбент в составе комплексного лечения
Интоксикация организма – один из наиболее ярких симптомов нарушения работы печени. Застой желчи и разрушение печеночных клеток становятся причиной накопления ядов. В то же время прием препарата полисорб МП позволяет эффективно выводить токсины, предупреждая отравление продуктами распада. Это дает возможность сократить продолжительность стационарного лечения пациента на 5-7 дней.
Для достижения максимального эффекта полисорб после еды рекомендуется принимать с первых дней заболевания. Курс лечения составляет 7-10 дней при условии приема трижды в сутки. Разовая дозировка препарата должна соответствовать весу пациента (3-5 г порошка).
Синдром хронической почечной недостаточности
В качестве вспомогательного средства для лечения почечной недостаточности полисорб МП способствует очистке крови от азотистых соединений. В данной ситуации лекарство рекомендуют принимать курсами. Средняя продолжительность курса составляет 1 месяц, повтор возможен после двухнедельного перерыва. Способы применения, дозировка порошка соответствует весовой и возрастной категории пациента.
Подобная чистка организма от шлаков и токсинов нужна для улучшения состояния больного, уменьшая проявление основных симптомов почечной недостаточности. Прием препарата между сеансами гемодиализа позволяет увеличить длительность периода между процедурами.
Лечение гриппа и простуды
У нас назначение сорбентов при простудных заболеваниях не получило широкого распространения в медицинской практике. Так как они не лечат от основной инфекции. Однако в современных европейских странах уже давно используют сорбирующие препараты для выведения токсинов, образующихся вследствие жизнедеятельности вирусов. Это позволяет предотвратить цикличность всасывания ядов в кровь в ходе развития заболевания, благодаря чему снижается температура, уменьшается нагрузка на иммунитет и выздоровление наступает в более короткие сроки.
Курс приема полисорба при простудных заболеваниях составляет 7 дней. Дозировка для детей и взрослых соответствует таблице. Пить порошок следует трижды в день.
Учитывая широкий спектр действия, при лечении гриппа и ОРВИ рекомендуется принимать именно полисорб МП. Аналоги препарата могут оказаться малоэффективны в отношении отдельных продуктов распада.
Алкогольная интоксикация
Алкогольное отравление – тяжелое состояние, вызванное этанолом и продуктами его распада в организме. Уровень интоксикации может отличаться в зависимости от количества спиртного и продолжительности его употребления.
При обычном похмельном синдроме стандартную взрослую дозу полисорба назначают 5 раз в день в первые сутки после застолья и 4 раза в день на следующие. При выходе из запоя для снятия симптомов абстинентного синдрома и предупреждения алкогольного делирия препарат назначают 3 раза в день по 1,5 ст. л. Длительность лечения составляет 7-10 дней.
Полисорб в педиатрии
Полисорб МП не имеет возрастных противопоказаний, при необходимости может назначаться детям с месячного возраста. Но многих интересует, как принимать полисорб для детей. Как и взрослое лечение, прием препарата должен осуществляться в соответствии с весовой категорией ребенка. При малом весе у грудничков используется схема расчета: количество килограмм/10. Полученный результат – количество порошка в граммах на один прием. Всего в течение дня сорбент принимают трижды за час до кормления или через полтора после него.
Наиболее распространенные показания в педиатрической практике – диатез, атопический дерматит и кишечные расстройства, вызванные нарушением баланса микрофлоры. Главное преимущество полисорба – связывание и выведение патогенных микроорганизмов в нижних отделах кишечника без влияния на полезную микрофлору малыша. Это позволяет добиться сорбционного эффекта и одновременно избежать развития дисбактериоза.
Для грудничков порошок сорбента можно разводить в грудном молоке. Детям младшего возраста для приготовления суспензии разрешено использовать соки без мякоти или другие натуральные напитки домашнего приготовления (морс, компот).
Лечение кишечных отравлений в период беременности и лактации
Применять сорбент полисорб в период вынашивания ребенка и лактации возможно, но только при наличии соответствующих показаний в качестве вспомогательного метода лечения инфекции. Дело в том, что препарат обладает способностью вымывать из организма вместе с токсинами поливитаминные соединения и кальций. И при необходимости медикаментозной терапии будущей матери показан дополнительный прием витаминного комплекса для восстановления утраченных микроэлементов.
Во время беременности коррекция дозировки и кратности приема не осуществляется, а лечение проводят по стандартной схеме. При этом продолжительность приема не должна превышать двух недель, а после устранения симптомов отравления лечение следует прекратить. При этих условиях сорбент не оказывает негативного влияния на здоровье будущей матери и плод. Более продолжительные курсы недопустимы.
Если беременность протекает с токсикозом, применяется стандартная схема приема препарата. Длительность курса – 14 дней. При необходимости повторный прием полисорба возможен после перерыва 3-4 недели. Но зачастую одного курса достаточно для купирования симптомов токсикоза и их профилактики.
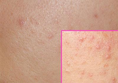
Лечение угревой сыпи и акне с помощью сорбента
Угревая сыпь – это следствие неправильной работы организма, слабого местного иммунитета и нарушения обменных процессов. Нормализация микрофлоры кишечника и его очищение от токсинов – обязательный компонент лечения прыщей в любом возрасте, прием сорбента способствует тому, что кожа будет выглядеть лучше. И полисорб МП прекрасно справляется с этой задачей, предупреждая проникновения отравляющих веществ в общий кровоток.
Лечение полисорбом позволяет устранить воспалительный процесс в коже и уменьшить проявление угревой сыпи. Для достижения максимального эффекта рекомендуется пройти 2 курса с перерывом в 7 дней. Длительность одного курса лечения прыщей составляет 14 дней. В этот период полисорб от прыщей рекомендуется принимать трижды в день по 1 ст. л.
Чтобы полностью избавиться от прыщей и улучшить цвет кожи, полезно сочетать внутренний прием сорбента с наружным его применением в виде масок. Для приготовления маски необходимо разбавить 1 ч. л. порошка водой до образования густой кашицы. Смесь нанесите на лицо, оставьте на 20-30 минут, после чего смойте теплой водой. Такую очищающую маску для жирной кожи рекомендуется делать раз в неделю. Обладательницам сухой кожи перерыв между процедурами следует увеличить до 10 дней.
Сорбент как часть диеты для похудения
В борьбе за стройную фигуру очищению кишечника отводится особая роль. Помощь в выведение шлаков и токсинов из организма позволяет избавиться от нескольких килограмм без ущерба для здоровья. Но самостоятельный прием сорбента не даст стойкого результата, если пренебречь диетой, правильным питанием и физическими нагрузками.
Полисорб МП для похудения – это вспомогательное средство в борьбе с лишними килограммами. Он помогает очищать кишечник от ядов и продуктов распада жировых клеток, ускоряя процесс снижения веса. Комбинация сорбента и диеты позволяют улучшить эффект похудения в 1,5-2 раза, минимизировав возможные осложнения жесткого питания.
Многих женщин интересует, сколько дней принимать сорбент для достижения желаемого результата. Для похудения порошок полисорб МП правильно принимать дважды в день по 2 ч. л., предварительно разведя его в воде. Курс лечения составляет 10 дней. После недельного перерыва курс необходимо повторить. Это позволит сбросить еще пару килограмм и закрепить полученный результат.
Побочные эффекты и противопоказания
Как и любое другое лекарственное средство, полисорб МП имеет свои противопоказания к применению. Так, лечение сорбентом запрещено при таких состояниях:
- язва двенадцатиперстной кишки в период обострения;
- язва желудка;
- атония (нарушение мышечного тонуса) кишечника;
- кровотечения в отделах пищеварительного тракта;
- индивидуальная непереносимость диоксида кремния.
Случаи передозировки сорбентом неизвестны. Побочные эффекты от приема порошка также встречаются крайне редко. Возможно проявление диспепсических симптомов, запоров или аллергических реакций.
Сорбент может способствовать нарушению всасывания кальция и витаминов. Поэтому при необходимости лечения препаратом полисорб МП курсом более двух недель обычно рекомендуется дополнительный прием поливитаминных комплексов.
Полисорб МП – это безопасный препарат, обладающий высокой эффективностью и быстрым действием. И многочисленные положительные отзывы лишь подтверждают информацию производителя. Но помните, что выбор в пользу того или иного лекарственного средства должен делать специалист, учитывая все имеющиеся показания.
Вопрос-ответ
Как правильно принимать полисорб мп?
Средняя суточная доза для взрослых — 0, 1–0, 2 г/кг (6–12 г). Максимальная суточная доза у взрослых — 0, 33 г/кг (20 г). Кратность приема — 3–4 раза в течение суток. В случаях пищевой аллергии препарат принимается непосредственно перед приемом пищи, суточную дозу Полисорб МП разделяют в течение дня на 3 приема.
Как правильно принимать Полисорб для очищения организма?
Полисорб принимают либо за 1 час до приема лекарств/пищи, либо через 1 час после приема лекарств/пищи. Независимо от показания препарат всегда перед применением размешивается в чистой воде комнатной температуры (количество воды и препарата варьируется от возраста).
Что можно лечить полисорбом?
Полисорб – мощный сорбент нового поколения на основе природного кремния, эффективный для лечения диареи, отравления, аллергии, токсикоза, похмельного синдрома и при очищении организма.
Что такое Полисорб МП?
Полисорб, МП – неорганический неселективный полифункциональный энтеросорбент на основе высокодисперсного кремнезема с размерами частиц до 0. 09 мм и с химической формулой SiO2. Полисорб, МП обладает выраженными сорбционными и детоксикационными свойствами.
Советы
СОВЕТ №1
Перед использованием Полисорба МП обязательно проконсультируйтесь с врачом, особенно если у вас есть хронические заболевания или вы принимаете другие лекарства. Это поможет избежать возможных взаимодействий и нежелательных эффектов.
СОВЕТ №2
Следуйте рекомендациям по дозировке, указанным в инструкции или предписанных врачом. Избыточное употребление Полисорба может привести к нежелательным последствиям, таким как запоры или нарушение баланса электролитов.
СОВЕТ №3
При использовании Полисорба для очищения организма от токсинов, старайтесь пить достаточное количество воды. Это поможет избежать обезвоживания и улучшит эффективность действия препарата.
СОВЕТ №4
Обратите внимание на срок годности и условия хранения Полисорба МП. Храните его в сухом месте, защищенном от света, чтобы сохранить его эффективность и безопасность.











