Блефароптоз — это распространенное офтальмологическое заболевание, которое возникает по разным причинам и характеризуется частичным или полным опущением верхнего века. На фоне птоза могут развиться серьезные патологии органов зрения, особенно в детском возрасте, например, глаукома или амблиопия.
Симптомы
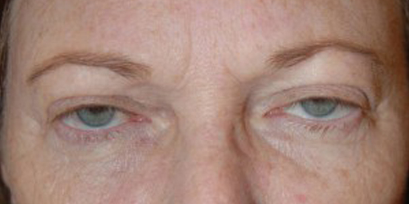
Опущение века всегда заметно, поэтому главный симптом птоза — это всегда косметический дефект, который приводит к физическим неудобствам и психологически нестабильному состоянию. Основные симптомы птоз-заболевания:
- заметное опущение верхнего века;
 - «печальное» выражение лица при птозе обоих глаз;
 - трудность в смыкании глаз;
 - ощущение инородного тела в глазу;
 - усталость глаз, покраснение склер;
 - контролируемое запрокидывание головы с целью поднять складку верхнего века;
 - косоглазие, раздвоение в глазах и ухудшение зрения, как приобретенный симптом (иногда проявляется сразу).
 
Редкие симптомы:
- вечерняя утомляемость организма из-за слабости в поперечнополосатых мышцах;
 - мышечная дистрофия;
 - движение век при открытии-закрытии ротового отверстия;
 - снижение пальпебрального рефлекса;
 - миоз, впалость левого или правого глаза, одновременное опущение век.
 
Врачи отмечают, что классификация птоза верхнего века является важным аспектом в офтальмологии и пластической хирургии. Птоз может быть врожденным или приобретенным, что определяет подход к его лечению. Врожденный птоз часто связан с недостаточной функцией мышц, отвечающих за подъем века, тогда как приобретенный может возникать из-за возрастных изменений, травм или заболеваний. Специалисты выделяют несколько типов птоза: легкий, умеренный и тяжелый, что помогает определить степень воздействия на зрение и эстетический вид пациента. Правильная диагностика и классификация птоза позволяют врачам разрабатывать индивидуальные планы лечения, включая хирургические и нехирургические методы, что значительно улучшает качество жизни пациентов.

Причины
Организм так устроен, что без мышц (а их у человека 640) и двигательных нервов (5 видов), человек не смог бы сделать ни малейшего движения, даже пошевелить языком. То же касается и век, за их движение отвечают мышцы лба, круговые мышцы глаз, леватор верхнего века, глазодвигательный, блоковый и отводящий нервы. При нарушении функций данных мышц и нервов визуализируется опущение века. Причины птоза:
- паралич глазодвигательного нерва (поражение непарной структуры среднего мозга);
 - поражением симпатической нервной системы;
 - мышечные и нервно-мышечные патологии;
 - застывший ячмень, лишняя кожа, непроизвольное рефлекторное сокращение мышц, халязион нижнего века, наросты, опухолевые заболевания, старческие изменения, последствия хирургического вмешательства, травмы и другие офтальмологические болезни.
 
Классификация
Опущение верхнего века может затронуть один (односторонний птоз) или одновременно два глаза (двусторонний). По офтальмологической статистике на одного пациента с двухсторонним птозом приходиться три пациента с односторонним птозом.
Выделяют такие процессы:
- Физиологический (свойственный).
 
К данной группе относят все причины связанные с психологическим состоянием организма. Так как в организме все взаимосвязано, то даже усталость, злость, досада, ярость, болевой синдром, общая слабость и другие чувства могут спровоцировать функциональную нестабильность в работе глазодвигательного нерва. Как правило, симптомы двустороннего птоза, вызванные физиологическим фактором, исчезают, как только человек приходится в стабильное гармоническое состояние. Часто взрослые люди отмечают птоз под конец эмоционально тяжелого дня, именно того глаза, который был травмирован в далеком детстве.
- Патологический.
 
Эта группа включает в себя глазные травмы и воспалительные заболевания мышц глаз и век, мозговых оболочек (например, менингит), при опухолях внутри черепа или в центральном спинномозговом канале, инфарктах, поражениях сплетения с плечей, воспаление корешков спинномозговых нервов и другие патологии. Блефароптоз, как и многие патологии делится на степени:
- I степень (частичный) — верхнее веко закрывает третью часть радужной оболочки глаза;
 - II степень (неполная) -закрывает пол или две третьи части радужной оболочки глаза;
 - III степень (полная) -полное закрытие зрачка.
 
Птоз третьей степени является самым тяжелым, так как человек лишается способности видеть (при двухстороннем птозе и вовсе нулевая видимость обоих глаз).
- Причинная классификация:
 - врождённый птоз (реже);
 - приобретенный птоз (чаще).
 
- Врожденный блефароптоз
 
Выделяют две причины врожденного блефароптоза:
- неправильное развитие леватора;
 - нарушение в нервных центрах глазодвигательного или лицевого нервов.
 
Перечисленные причины выделяются в следующих врожденных заболеваниях:
- Окулосимпатический синдром (Горнера). Данный синдром может быть как врождённый, так и в результате медицинского вмешательства. Характеризуется блефроптозом, миозом , энофтальмом и другими симптомами.
 - Синдром Маркуса Гунна. Редкая патология, характеризуется синкинезией , поднимание века происходит при открытии рта, движений в сторону и вперед нижней челюстью, сильном смыкании челюстей.
 - Ретракционный синдром Дуана. Характеризуется косоглазием, с неспособностью глаз двигаться наружу.
 - Миастения. Характеризуется патологической утомляемостью и слабостью мышц.
 - Нарушения в снабжении мышцы леватора, что в свою очередь аномально обеспечивает ее связь с центральной нервной системой.
 - Врожденный паралич IV пары черепных нервов.
 
- Приобретенный блефароптоз
 
Болезнь чаще встречается на одном глазу и является последствий ушибов, старения, опухолевидных наростов, заболеваний приводящих к нарушению работы леватора. Формально приобретенный блефароптоз делится на формы, которые могут сочетаться друг с другом:
- Апоневротическая форма.
 
Выражается легким и тяжелым течением заболевания. Возникает, когда мышечные волокна переходят в сухожильные с отклонением от нормы. В свою очередь делится на сенильный (возрастной птоз — с возрастом кожа теряет эластичность и обвисает, мышцы теряют тонус, это же происходит и с кожей, мышцами век) и послеоперационный (травма апоневроза мышц).
- Миогенная форма.
 
Возникает вследствие заболеваний, которые характеризуются постоянной утомляемостью и мышечной слабостью, расстройством нервно-мышечной передачи, мышечной дистрофией, сужением и укорочение глазной щели, уменьшением подвижности глазных яблок (окуло-фарингеальная миопатия).
- Нейрогенная форма.
 
Возникает вследствие утраты и нарушений функций глазодвигательного нерва, всегда идет в комплексе с расширением зрачка и нарушением движения глаза. Такой симптом наблюдается у больных с опухолями, поражением нервов, которые относятся к периферической нервной системе, внутричерепными.
- Механическая форма.
 
У птоза верхнего века причины при данной форме не связанны с нарушениями в мышцах или нерве, оно опускается из-за обширного образования, отека или при рубцевании тканей. Быстрота развития болезни зависит от причины, при таком образовании, как холодный ячмень птоз развивается прогрессивно, а вот при раковой опухоли может доходить до двух лет.
Классификация птоза верхнего века вызывает много обсуждений среди специалистов в области офтальмологии и пластической хирургии. Многие врачи отмечают, что правильная диагностика и классификация птоза имеют ключевое значение для выбора оптимального метода лечения. Существуют различные типы птоза, включая врожденный и приобретенный, что влияет на подход к терапии. Пациенты часто делятся своими переживаниями о том, как птоз влияет на их внешний вид и качество жизни. Некоторые отмечают, что даже небольшое опущение века может вызывать значительное психологическое дискомфорт. Важно, чтобы врачи не только проводили тщательную диагностику, но и объясняли пациентам возможные варианты коррекции, включая хирургические и нехирургические методы. Обсуждения на форумах и в социальных сетях показывают, что многие люди ищут информацию о птозе, чтобы лучше понять свое состояние и возможности лечения.

Последствия после блефаропластики.
Хирургическое вмешательство с целью изменения формы век может нести такие осложнения, как отек мягких тканей (механическая форма), разрыв сосудов, диплопия — нарушение работы двигательных мышц глаза (чаще косой), рубцевание, повреждения окончаний нервных ветвей. Птоз века причины, которого кроются в послеоперационном отеке мягких тканей, является закономерным осложнением и проходит через неделю, а вот диплопия через пару месяцев.
Терапия
Зная, что такое птоз верхнего века, следует разобраться в методике лечения данного заболевания. Используют как нехирургическую терапию, так и оперативное вмешательство. Лечение зависит от таких факторов, как причина возникновения и степень заболевания. Иногда врач разрешает фиксировать опущенное веко с помощью пластыря для предотвращения конъюнктивита, но данный метод является вспомогательным и кратковременным.
Консервативное лечение
Нехирургическое лечение возможно только при псевдоптозе и при нейрогенном птозе с начальными стадиями развития, но как показывает практика оно носит больше профилактический эффект нежели лечебный. В медучреждении:
- массаж;
 - УВЧ-терапия.
 
В домашних условиях:
- гимнастические упражнения;
 - массаж;
 - лифтингкрем;
 - компрессы из сока картофеля;
 - протирание льдом (замороженный отвар корня петрушки).
 
Гимнастика для поднятия тонуса мышц:
- Движение глаз по кругу, посмотреть вверх, вниз и поочередно в стороны не шевеля головой;
 - Раскрыть широко глаза на десять секунд, сомкнуть глаза, напрягая мышцы на десять секунд, следует проделать не более шести раз подряд;
 - Откинуть голову назад, максимально быстро моргать на протяжении сорока секунд, следует проделать не более семи раз подряд;
 - Откинуть голову назад, смотреть на свой нос в течение пятнадцати секунд, следует проделать не более семи раз подряд.
 
Если консервативный метод не дает положительного результата, то переходят к оперативному вмешательству.
Оперативное вмешательство
Операция при птозе показана при неполном и полном закрытии зрачка, а так же при частичной степени блефараптоза, когда консервативное лечение не принесло результатов. В хирургию внесено много идей по устранению опущения верхнего века, на данном этапе выделяют три методики:
Методика Гессе. Данная операция возможна, если мышца свода черепа не повреждена, а леватор верхнего века и верхняя прямая мышцы находятся в состоянии паралича. Техническая задача операции подвигнуть в формировании соединительнотканных тяжей для поднятия век в процессе сокращения мышц свода черепа.
Методика Моте. Данная операция считается технически сложной, поэтому практикуется в очень редких случаях. Ее задача улучшить работу сухожилия мышцы, поднимающей верхнее веко, за счет верхней прямой мышцы.
Методика Эверсбуша. Технически операция состоит в образовании складки на сухожильной части леватора. Со временем ее усовершенствовали благодаря Блашковичу. Но задача осталась прежней: укоротить мышцу века для ее легкого самостоятельного поднятия.
Народная медицина
Проверенные народные рецепты дают хороший результат по укреплению мышц верхнего века:
Маска из яичного желтка. Тщательно взбить один желток куриного яйца, добавить две капли масла кунжута. Нанести, смыть через двадцать минут теплой водой.
Маска из картофеля. Перемолоть в комбайне один крупный картофель до образования кашицы. Оставить в холодном месте на тридцать минут. По истечению времени нанести кашицу минимум на четверть часа, смыть теплой водой.
Отвар из ладанной травы (розмарин лекарственный) и лаванды. Заварить сухие листья ладанной травы и лаванды, протирать веки.
Компресс из ромашки и петрушки. Заварить сухую ромашку или петрушку. Пропитать отваром ватно-марлевый тампон, и делать компрессы по двадцать минут, четыре раза на день.
Профилактика
Единственный способ предотвратить заболевание заключается в устранении причины, которая может послужить толчком в его развитии. Для этого нужно:
- избегать воспаление конъюнктивы и глазного ;
 - наблюдаться у невролога;
 - наблюдаться у офтальмолога;
 - людям преклонного возраста запрещено использовать более трех препаратов для лечения глазных заболеваний одновременно;
 - лечебная гимнастика глаз;
 - лифтинг-крем (профилактика возрастного птоза).
 
Профилактические меры направлены на устранение только приобретенной формы заболевания.
Заключение
Птоз верхнего века в равной части развивается как у взрослых, так и у детей. Он опасен тем, что снижает остроту зрения и портит осанку, особенно неправильной осанкой страдают дети из-за выработанной привычки запрокидывать голову назад. Поэтому, когда ребенок начинает сидеть, ходить родители могут заметить развитие птоза по тому, как ребенок держит голову. Данный патологический процесс провоцирует амблиопию, косоглазие и другие офтальмологические заболевания. Поэтому об этом следует позаботиться с первых подозрений, если прикрыт на треть зрачок глаза — птоз 1(ой) степени, а это значит, что есть вероятность обойтись без хирургического вмешательства.
При подозрении на неправильное положение головы у ребенка, при слезоточивости глаз у пожилых людей, при явном опущение или неконтролируемом спазме века, следует сразу же обратиться к офтальмологу.

Вопрос-ответ
Каковы степени птоза верхнего века?
1 степень — закрыта одна треть зрачка, заболевание характеризуют как частичный птоз верхнего века. 2 степень — закрыто от половины до двух третей зрачка, заболевание характеризуют как неполный птоз верхнего века. 3 степень — зрачок закрыт полностью, заболевание характеризуют как полный птоз верхнего века.
Птоз — это ЧН 3 или 7?
Птоз верхнего века возникает в результате паралича мышцы, поднимающей верхнее веко, которая также иннервируется ЧН3. Как и в случае с экстраокулярными мышцами, у пациента может наблюдаться полное или частичное нарушение функции мышц, что приводит к различной степени тяжести.
Как определить степень птоза?
Степень птоза определяют по уровню сосково-ареолярного комплекса. В норме он должен быть расположен выше подгрудной складки и находиться примерно посередине плеча. Такие пропорции не зависят от роста и телосложения женщины, поэтому должны соблюдаться во всех случаях.
Что такое птоз 3 степени?
Если сосок находится ниже субмаммарной складки более чем на 3 см, то мы говорим о третьей степени птоза. Кроме этих трех степеней существует состояние, при котором сосок находится выше субмаммарной складки, а большая часть самой молочной железы недосформирована и находится ниже.
Советы
СОВЕТ №1
Изучите анатомию верхнего века. Понимание структуры и функций тканей, таких как мышцы, кожа и жировая клетчатка, поможет вам лучше осознать причины птоза и его классификацию.
СОВЕТ №2
Обратите внимание на симптомы. Птоз может проявляться не только в опущении века, но и в других признаках, таких как усталость глаз или затрудненное зрение. Записывайте все изменения, чтобы обсудить их с врачом.
СОВЕТ №3
Консультируйтесь с врачом-офтальмологом или пластическим хирургом. Профессиональная оценка состояния ваших век поможет определить тип птоза и выбрать наиболее подходящее лечение или коррекцию.
СОВЕТ №4
Следите за состоянием кожи вокруг глаз. Упражнения для глаз и использование увлажняющих средств могут помочь замедлить процесс старения и предотвратить развитие птоза.






