Катаракта — водопад в современном мире. Катаракта является одним из самых распространенных глазных заболеваний и ее частота достигает 30% на 1000 человек. Данная патология является актуальной, так как количество заболевших людей с каждым годом все увеличивается, возраст возникновения уменьшается и возникают необратимые последствия, вплоть до полной слепоты. Катаракта — заболевание глазного яблока, являющееся следствием помутнения хрусталика или его капсулы. С греческого языка переводится как водопад, так как раньше заболевание представляли как потоки воды, льющиеся перед глазом.
Классификация
Врожденная — помутнение, формирующееся в период внутриутробного развития при влиянии различных факторов в период закладки хрусталика. Составляют 10% всех катаракт.
- Приобретенная катаракта;
- Возрастная катаракта — до 90-92% всех катаракт. В большинстве случаев возникает старше 51 года;
- Кортикальная катаракта;
- Старческая ядерная катаракта;
- Посттравматическая катаракта — возникает вследствие проникающего ранения глаза или ушиба глазного яблока без проникновения в него;
- Осложненные катаракты — связаны как с заболеваниями глаз, так и с заболеваниями организма в целом;
- Послеоперационная;
- После длительных хронических заболеваний глаз воспалительного характера (хронический иридоциклит приводит к тому, что возникает задняя субкапсулярная катаракта);
- Диабетическая — возникает у пациентов с декомпенсацией сахарного диабета;
- Заднекапсулярная катаракта;
- Стероидная — помутнение, возникающее чаще всего у детей на фоне длительного приема гормональных стероидных препаратов.
Врожденное помутнение. Прирождена катаракта наблюдается наиболее часто у детей первых 28 суток от рождения, матери которых во время беременности перенесли различные вирусные болезни, такие как корь, рубелла (краснуха) или грипп. Врожденная катаракта диагностируется только после осмотра малыша офтальмологом. Достоверным критерием диагноза является слоистое помутнение, имеющее ровные контуры и симметрично располагающиеся на обоих глазах. Прирожденная катаракта так же может протекать в доброкачественной форме, когда помутнения не изменяют остроту зрения, редко прогрессируют и локализуются в задней части и/или на периферии. Такое помутнение еще называют как неполная катаракта.
Врожденная может быть нескольких видов:
- Передняя полярная — округло-овальное пятнышко белого цвета, располагающееся в переднем отрезке глаза. Возникает вследствие нарушения эмбриогенеза и закладки эпителия.
- Задняя полярная (заднекапсулярная катаракта) — эллипсовидное образование, располагающееся в задней части линзы под капсулой. Является следствием нарушения редукции артерии, проходящей в стекловидном канале и кровоснабжающую двояковыпуклую линзу (хрусталик).
- Врожденная передне-задняя — помутнение как у переднего, так и у заднего полюса.
- Веретенообразная прирожденная катаракта — изменение прозрачности локализуется в центральной части хрусталика, почти никогда не распространяется дальше и чаще всего лечить такое помутнение не требуется.
Чаще всего врожденное помутнение является генетическим заболеваниям с доминантным типом наследования. Но некоторые формы катаракты и глухонемоты передаются по аутосомно-рецессивному типу.
Так же, помутнение хрусталика у новорожденных может быть осложнением некоторых генетических заболеваний, например таких, как болезнь Марфана. При болезни Марфана поражаются соединительная, костная и мышечная ткани, а так же глаза. Основная причина болезни — мутация гена фибрина. Основными симптомами заболевания являются арахнодактилия (длинные, тонкие пакуообразные пальцы), высокий рост (больше 2х метров) с непропорционально коротким туловищем и вывих или подвывих хрусталика. Последствия болезни Марфана очень многообразны. Одним из грозных осложнений является катаракта, которая требует немедленной операции для сохранения зрения.
Возрастное изменение прозрачности хрусталика. H-25 — катаракта классификация по МКБ-10. Чаще возникает у людей пожилого возраста, однако может встретиться и в меньшей возрастной группе. Данный вид является возрастной инволюцией и происходит в результате того, что волокна хрусталика набухают и распадаются, теряется их связь с капсулой.
Сенильная катаракта составляет наибольшее количество всех катаракт (до 90-95% случаев). В зависимости от того, где локализуется процесс помутнение делят на корковое и ядерное.
Врачи отмечают, что незрелая катаракта представляет собой начальную стадию помутнения хрусталика, при которой зрение еще сохраняется, но уже начинает ухудшаться. В этой стадии катаракта классифицируется по степени помутнения: от легкого до умеренного. Специалисты подчеркивают, что важным аспектом является своевременная диагностика, так как на этом этапе возможно консервативное лечение и замедление прогрессирования заболевания. Врачи также акцентируют внимание на том, что незрелая катаракта может проявляться различными симптомами, такими как нечеткость зрения, светобоязнь и изменение восприятия цветов. Понимание особенностей этой стадии позволяет врачам разрабатывать индивидуальные подходы к лечению и профилактике, что в конечном итоге способствует улучшению качества жизни пациентов.

Корковое помутнение
Изменение прозрачности двояковыпуклой линзы начинается с коры. Выделяют следующие стадии катаракты:
Начальная стадия — длительность от 2 до 10 лет, может быть больше. Первые очаги возникают по бокам хрусталика, в связи с чем у больных долгое время не возникает никаких жалоб. По мере продвижения помутнения к центру, у пациента появляются глазные симптомы: жалобы на снижение зрения, диплопию или полиплопию (видит не один, а несколько предметов) и мушки, перемещающиеся вслед за перемещением взгляда больного. Одним из вариантов начальной стадии является набухающая катаракта, при которой происходит частичное снижение зрения и возможно повышение ВГД (внутриглазного давления).
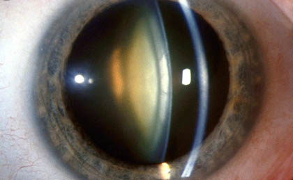
Незрелая катаракта — помутнение хрусталика продолжает прогрессировать, происходит его обводнение, вследствие чего у больного резко падает острота зрения.Стадия незрелой катаракты является наиболее благоприятным вариантом течения заболевания.
Зрелая катаракта характеризуется абсолютным изменением прозрачности хрусталика, при этом происходит уплотнение его основного вещества и зрачок приобретает сероватый или молочно-беловатый цвет. Полное помутнение коры соответствует полной потере предметного зрения с сохранностью цвето- и светоощущения. Зрелая катаракта оперируется только при сохранности светоощущения, если больной не различает темноту и свет, то операции по удалению помутнения нецелесообразны, так как не приведут к восстановлению зрения.
Перезрелая катаракта — характеризуется развитием процесса, в результате которого все вещество хрусталика распадается, а остается только его сумка. Такие изменения соответствуют полной слепоте. Перезревшая патология опасна своими осложнениями — происходит разрыв капсулы хрусталика, вследствие чего возможен выход белка непосредственно в полость глаза. При отсутствии своевременной помощи возможно развитие иридоциклита (факолитического). Корковая катаракта на этой стадии является жизнеугрожающим состоянием. Перезрелая катаракта является показанием к срочной операции по удалению хрусталика.
Ядерное помутнение
Ядерная катаракта глаз у пожилых встречается всего в 8-11% случаев. Помутнение локализуется глубоко в ядре, и распространяется кнаружи. Линза при этом может стать желтоватой или буроватой (реже встречается черный хрусталик) и тогда заболевание соответственно можно назвать «черная или бурая катаракта». При этом типе болезни возникает близорукость, которая постепенно прогрессирует.
Созревание ядерной катаракты происходит на протяжении нескольких лет, когда происходит прогрессирование помутнения и распространение его не всем протяжении двояковыпуклой линзы (хрусталика). Заднекапсулярное помутнение. Заднекапсулярная катаракта является отдельным видом изменения прозрачности хрусталика, которое начинается с задних отделов коры, прилегающей к стекловидному телу. Этот вид отличается очень быстрым прогрессированием, и поэтому такое помутнение еще можно увидеть под таким названием, как прогрессирующая катаракта. Развивается капсулярная катаракта чаще всего на фоне системных заболеваний и клинически проявляется снижением зрения и пеленой перед глазами.
Диабетическое помутнение хрусталика. Катаракта при сахарном диабете встречается чаще всего при злокачественном его течении. Сахарный диабет дает помутнения под капсулой в переднем и заднем отделах хрусталика в виде равномерных мелковатых хлопьев. Диабетическая катаракта характеризуется главным образом тем, что при своевременном и полном лечении болезни, возможность обратного развития заболеваний обоих глаз достигает 100%. Сахарный диабет на последних стадиях не поддается адекватному лечению и возможна только поддерживающая терапия. Патогенез катаракты при сахарном диабете чаще всего связывают с повышенным содержанием глюкозы во влаге передней камеры глаза и толще хрусталика, вследствие чего образуется помутнение.
Незрелая катаракта — это состояние, при котором хрусталик глаза начинает мутнеть, но еще сохраняет некоторую прозрачность. Многие пациенты отмечают, что в начальной стадии заболевания зрение становится размытым, появляются блики и трудности с восприятием яркого света. Люди часто делятся своими переживаниями о том, как это влияет на повседневную жизнь: чтение, вождение автомобиля и даже простое общение становятся проблематичными. Важно отметить, что незрелая катаракта может развиваться медленно, и некоторые не замечают изменений до тех пор, пока состояние не ухудшится. Врачебные рекомендации обычно включают регулярные осмотры и наблюдение за прогрессированием заболевания. Многие пациенты также обсуждают необходимость хирургического вмешательства, когда катаракта становится зрелой и значительно ухудшает качество жизни. В целом, осведомленность о симптомах и особенностях незрелой катаракты помогает людям своевременно обращаться за медицинской помощью и принимать обоснованные решения о лечении.

Посттравматическое помутнение
Травматическая катаракта — изменение прозрачности хрусталика, возникновение которого может быть результатом действия на него ряда факторов физической, химической и/или механической природы, так как хрусталик является очень чувствительной к внешним воздействиям средой. При различных контузиях и механических травмах возникает истинное помутнение хрусталика, которое может быть розеточным или лучистым. Травматическая катаракта может привести к разрыву хрусталика, вследствие чего может возникнуть аутоимунный увеит и катаральный конъюнктивит.
У детей травматическая катаракта очень часто вызывает посттравматическое стрессовое расстройство (ПТСР), которое так же называют «синдром усталости боя». Возникает после тяжелой травмы и для лечения необходима помощь психолога. К одному из видов травматических катаракт относится лучевая катаракта, возникающая вследствие поглощения хрусталиком волн с очень маленькой длиной волны (инфракрасных). Кроме того, лучевая катаракта может возникнуть при воздействии на глаз других лучей определенной длины волны (радиевые и рентген-лучи). При работе в горячих цехах, без использования средств индивидуальной защиты может развиться профессиональная травматическая катаракта. Данный вид помутнения необратим.
Лечение помутнения хрусталика
Лечение катаракты на начальных этапах помутнения и незначительной потере зрения может проводиться консервативно. Местно назначаются препараты, улучшающие обменные процессы в тканях хрусталика (средства, содержащие аминокислоты — цистеин, гистидин, и витамины — аскорбиновую кислоту). При своевременно начатом лечении помутнение может рассасываться.
Если эффекта от консервативного лечения нет и глазные симптомы продолжают прогрессировать, проводится хирургическая операция катаракты. Выделяют следующие основные операции по удалению:
- Экстракция катаракты (извлечение) — микрохирургическая операция, которую можно выполнить двумя основными методами:
- Интракапсулярно — удаление хрусталика производится целиком в хрусталиковой сумке;
- Экстракапсулярно — вскрывается передняя камера глаза, удаляются ядро и кортикальные массы, при этом задняя капсула остается на месте, что обеспечивает меньше осложнений, чем при интракапсулярном удалении. Так же, при этом виде операции в дальнейшем проще выполнить искусственную оптику;
- Факоэмульсификация — ультразвуковое дробление хрусталика с последующим вымыванием и выведением хрусталиковых масс из глаза. Разрез при этом делается минимальный, что уменьшает процент осложнений в послеоперационном периоде;
- Лазерная экстракция — дробление хрусталика проводится лазером. Операция имеет более расширенные показания и больший возрастной диапазон, чем факоэмульсификация.
Таким образом, существует очень много разновидностей. Она имеет очень серьезные последствия, вплоть до полной потери зрения. Но при своевременном выявлении и лечении помутнения, осложнения будут минимальны или их не будет вовсе.

Вопрос-ответ
Какова классификация незрелой катаракты?
Стадии незрелой катаракты. Незрелая катаракта средней стадии: помутнение хрусталика увеличивается, что приводит к заметным нарушениям зрения и трудностям в условиях слабого освещения. Незрелая катаракта поздней стадии: помутнение распространяется, значительно ухудшая зрение и затрудняя повседневную деятельность.
Что такое незрелая катаракта?
Незрелая катаракта глаза – условно выделенная стадия помутнения хрусталика. При этой степени качество зрения снижается настолько, что причиняет дискомфорт пациенту. Но офтальмолог при осмотре глазного дна может различить детали – структуру зрительного нерва и сетчатки.
Какая классификация катаракты?
Распространённые типы катаракты. Возрастная катаракта является наиболее распространённым типом и подразделяется на три типа в зависимости от анатомии хрусталика: ядерно-склеротическая, кортикальная и задняя субкапсулярная.
Каковы степени зрелости катаракты?
Степени зрелости катаракты делятся на три основных этапа: начальная (незрелая) катаракта, когда помутнение хрусталика только начинается и зрение немного ухудшается; зрелая катаракта, при которой помутнение становится более выраженным, и зрение значительно ухудшается; и перезрелая катаракта, когда хрусталик становится полностью мутным, может изменяться его форма, и зрение практически отсутствует.
Советы
СОВЕТ №1
Обратите внимание на ранние симптомы незрелой катаракты, такие как размытость зрения, трудности с восприятием яркого света и изменение цветового восприятия. При появлении этих признаков не откладывайте визит к офтальмологу.
СОВЕТ №2
Регулярно проходите обследования у глазного врача, особенно если у вас есть предрасположенность к катаракте (например, диабет или наследственная предрасположенность). Это поможет выявить проблему на ранней стадии.
СОВЕТ №3
Следите за своим образом жизни: соблюдайте сбалансированную диету, богатую антиоксидантами, и избегайте курения и чрезмерного употребления алкоголя. Эти факторы могут снизить риск развития катаракты.
СОВЕТ №4
Если вам поставили диагноз незрелой катаракты, обсудите с врачом возможные методы лечения и наблюдения. В некоторых случаях может быть рекомендовано наблюдение, в то время как в других — хирургическое вмешательство.





